是的,您没看错
一个人可能同时拥有2个子宫
这不是科幻设定
而是真实存在于部分女性身体中的独特构造
被叫做 先天性双子宫

尽管在普通人群中的发生率仅为0.3%–0.4%
多数女性没有明显症状,甚至毫无觉察
但它却默默关联着女性的
月经、生育与健康认知
本期,我院功能检查科医生跟大家科普下
什么是先天性双子宫
以及如何诊断、如何应对等等
↓ ↓ ↓
什么是先天性双子宫?
先天性双子宫(Uterus Didelphys),通俗地说,就是“一个人有两个子宫”。这是女性生殖系统的一种先天性发育变异,并不是后天形成的肿瘤或增生。
在女性胚胎发育早期,子宫来源于体内两条“苗管”。正常情况下,这两条管会逐渐向中间靠拢并融合,最后形成一个完整的子宫和一个宫颈;如果融合过程中断,两条管道各自发育,就会形成两个相对独立的子宫,这就是先天性双子宫。
正常子宫与双子宫的解剖差异
正常子宫位于盆腔中部,前倾前屈,形似倒置的梨,主要包括宫底、宫体、宫腔、子宫内膜、宫颈、阴道、输卵管、卵巢等。
先天性双子宫的典型特点是“两个子宫、两套宫腔”,程度不一的“两个宫颈、甚至两个阴道”。
先天性双子宫常见解剖特征包括:
(1)两个相对独立的子宫体,各自有宫腔和子宫内膜。
(2)通常有两个宫颈(双宫颈),少数病例下端部分融合呈单宫颈。
(3)大约一半以上患者伴随纵行阴道隔或双阴道,即阴道内部被隔成两腔。
(4)两侧子宫大小可以接近,也可能一大一小;血供多由各自的子宫动脉负责。
(5)从影像学上看,双子宫常表现为两个分开的子宫体,子宫底之间有明显凹陷或间隙,两腔之间不相通。

需要特别区分双子宫与其他几种常见子宫畸形:
(1)纵隔子宫:外形像一个子宫,但宫腔中间被“隔板”分成两间房;外轮廓基本完整。
(2)双角子宫:子宫上部呈“心形”或“两个角”,下段融合成一个宫颈,宫腔部分分离。
(3)单角子宫:仅一侧苗勒管发育,形成一个偏小的子宫,常伴对侧发育不良或残角。
双子宫的特点是“外形和内腔都成对、常伴双宫颈或阴道隔”,而纵隔子宫外形只有一个子宫,仅内部被隔开,这个区别对于是否需要手术干预非常关键。

典型临床表现与可能的健康影响
1. 可能完全没有症状
不少研究发现,多数双子宫患者临床过程是无症状的,仅在孕检或因不孕、流产等问题进行进一步检查时才被发现。
对这部分人群来说,双子宫更像是一种“解剖变异”,而不是明显的“疾病”。
2. 月经相关表现
部分患者可能出现以下月经改变:
(1)月经量偏多:两个宫腔的内膜同时脱落,总量增加。
(2)经期延长:如果两侧子宫出血时间略有差异,整体经期会拉长。
(3)痛经:若伴随阴道隔或部分梗阻,可能出现进行性加重的痛经。
(4)青春期出现周期性腹痛而无明显出血时,需警惕一侧宫腔或阴道存在梗阻性畸形。
3. 生育与妊娠结局
总体来说,双子宫女性的自然受孕能力并不一定明显降低,但妊娠属于相对“高风险妊娠”,部分妊娠结局风险增高。
研究报道中,未手术干预的双子宫患者妊娠结局大致特点包括:
(1)自然妊娠率总体尚可,多数患者能够成功怀孕。
(2)流产率较普通人群偏高,有研究报道约30%左右的流产率。
(3)早产率增加,一些队列中早产发生可达20–30%。
(4)胎位异常(如臀位)的发生率升高,剖宫产率相应增加。
需要强调的是:即便风险略有增加,相当比例的双子宫患者仍然可以获得良好的母婴结局,关键是妊娠期间的规范随访和监测。

4. 其他可能相关问题
部分患者可能合并以下情况:
(1)阴道隔导致性交不适或困难。
(2)合并泌尿系统发育异常,如一侧肾缺如或肾畸形,需专门检查。
(3)盆腔疼痛、反复阴道感染等(常见于伴有梗阻性畸形者)。
并非每位患者都会出现上述问题,临床表现差异较大,需个体化评估。
如何诊断先天性双子宫?
1. 问诊与体格检查
医生首先会详细询问月经史、生育史和症状特点(如痛经、不孕、流产史、性交不适等),并进行妇科体检,初步了解宫颈数目、阴道是否存在隔板等。
2. 影像学检查——诊断关键步骤
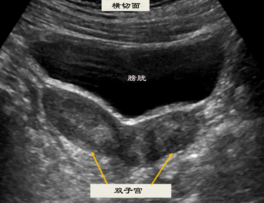
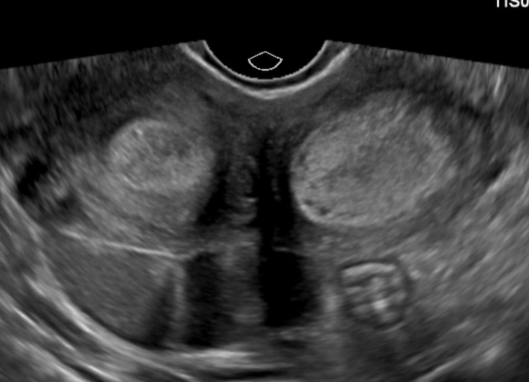
(1)超声检查(首选)
超声是诊断双子宫的首选检查方式,安全、无创、可重复,适用于育龄女性和妊娠期患者。
① 经腹部超声:从腹部观察子宫整体形态、数目及与周围器官关系。

② 经阴道超声:分辨率更高,可清晰显示子宫内腔、宫颈及阴道情况,便于发现双宫腔、双宫颈或纵行阴道隔。

超声典型表现包括:两个不相通的宫腔、分离的子宫体、明显的子宫底切迹以及可能存在的双宫颈等。
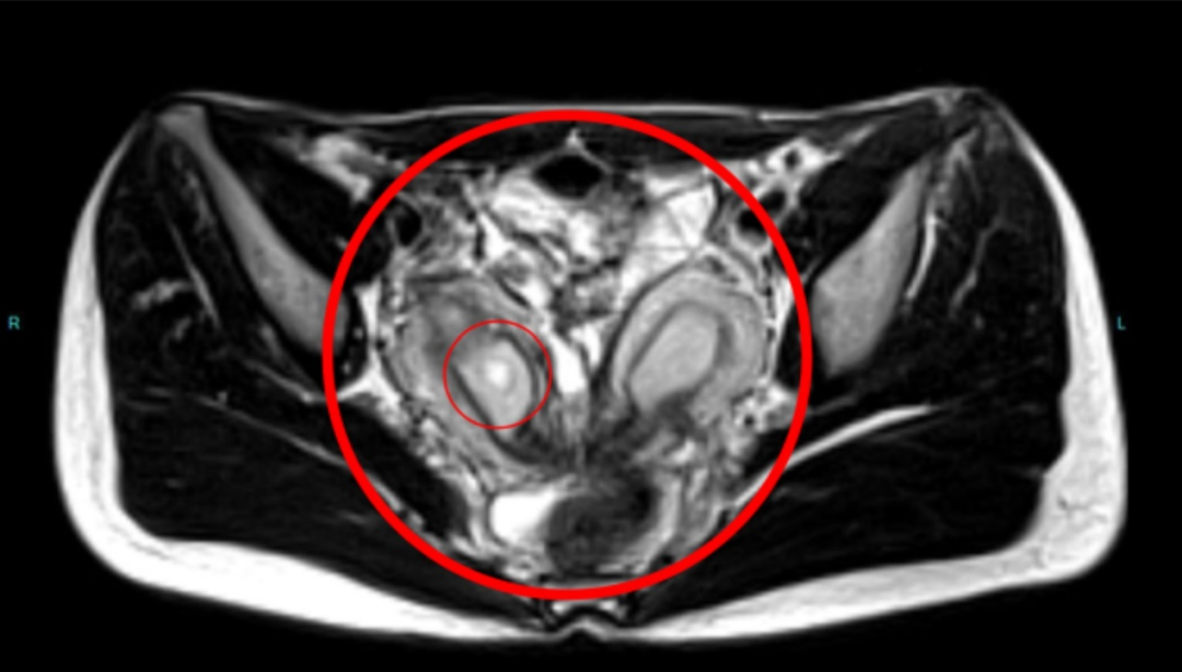
(2)磁共振成像(MRI)
当超声结果不够清晰或需要更精细解剖评估时,医生可建议行盆腔MRI检查。
MRI优势在于软组织对比度高,可精确显示子宫外形和宫腔形态,帮助鉴别双子宫、双角子宫与纵隔子宫等不同类型,有利于制定管理策略。

(3)其他检查
① 宫腔镜、腹腔镜:目前多用于复杂或梗阻性畸形的评估与治疗,并非所有双子宫患者都需要。
② 肾脏影像检查:部分双子宫患者可合并肾发育异常,必要时进行泌尿系统超声或其他影像学评估。
发现了双子宫,该如何应对呢?
1. 日常健康管理
对已确诊为双子宫的育龄女性,建议:
(1)了解自己的解剖情况(是否伴双宫颈、阴道隔、有无肾脏异常等)。
(2)保持规律作息、均衡饮食,注意铁摄入,尤其月经量多者。
(3)建议每年复查盆腔超声,动态观察子宫及附件情况。出现月经过多、加重痛经或异常出血时应及时就诊。
2. 妊娠前准备
计划妊娠前,建议到正规医院进行孕前咨询和评估,包括:
(1)详细盆腔超声或MRI,明确双子宫类型和大小、宫腔形态。
(2)评估既往妊娠史(有无流产、早产、胎位异常等)。
(3)了解是否合并其他生殖或内科疾病(如甲状腺疾病、糖尿病等),以便综合管理。
3. 妊娠期间的重点管理
目前的研究认为,双子宫妊娠应按照“高危妊娠”加强随访,重点关注以下方面:
(1)早孕期:及早明确孕囊位置(在哪一侧子宫)、排除宫外孕,评估胚胎发育情况。
(2)中后期:更频繁的产前检查,监测胎儿生长、羊水量、胎位以及宫颈长度等指标,以便及早识别早产风险或胎位异常。
(3)分娩方式:不少研究发现,双子宫患者中臀位等胎位异常比例较高,剖宫产率相应增加,但是否剖宫产需要综合考虑胎位、孕周、既往分娩史等,由产科医生综合评估后决定。
需要强调的是:双子宫并不等于不能顺产,而是要在医生评估后选择对母婴最安全的分娩方式。
4. 避孕方式的选择
双子宫患者可使用的大部分避孕方式与普通人群相同,如避孕套、口服短效避孕药等。
对于宫内节育器(节育环),因为子宫形态异常、宫腔分成两侧,避孕范围可能有限,存在一侧放置而另一侧仍有受孕可能的情况,因此需要在充分评估和影像学指导下谨慎选择,且定期随访确认位置和效果。
专家健康提醒!
1. 先天性双子宫是一种发育变异,不是“犯错”造成,更不是无法逆转的“绝症”。很多女性终身无明显不适,也能顺利怀孕生娃。
2. 是否需要治疗,关键看症状和妊娠情况,而不是“影像上长得不标准”。 单纯的解剖差异在多数情况下不需要手术“矫正”,更不提倡为“变成一个子宫”而做高风险手术。
3. 如果计划妊娠或已经怀孕,请告诉接诊医生您有双子宫的情况。 医生可以根据子宫形态适当增加随访频率,提前识别并发症风险,改善母婴结局。
4. 如合并反复流产、早产、胎位异常或严重痛经等问题,应在专科医生指导下进行个体化评估和管理。 单靠“网络经验”难以准确判断,应以专业意见为准。
5. 定期体检和超声检查,是女性生殖健康的有效保障。 无论是否已知有双子宫,出现月经明显改变、经量突然增多、经期剧痛、反复流产或妊娠异常等情况,都应尽早就医。
订阅后可查看全文(剩余80%)