
42岁的宋女士(化名)
原本的乳腺结节进展为乳腺癌
却因恐惧乳房缺失带来的身体残缺
而害怕手术
广东省第二人民医院
(以下简称“省二医”)
胸壁外科研究所乳腺甲状腺专科
赖勇强博士团队
采用保留乳头的全乳切除术
联合一期假体重建术
成功为宋女士解除了病痛
让她完整留住形体之美
重获健康与自信
患乳腺结节两年,不幸变乳腺癌
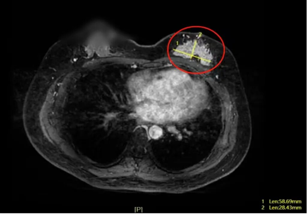
两年前,宋女士就查出自己有3类乳腺结节,但因心存侥幸,既没坚持乳房自检,也未按时做年度B超体检。2025年的一天,她在洗澡时摸到乳房内的大肿块,才猛然警惕就医。省二医胸壁外科研究所乳腺甲状腺专科副主任医师赖勇强博士团队接诊宋女士后,为她进行了详细体检和相关检查。检查结果显示:宋女士左侧乳房有一个大小约5cm×5cm×2.5cm的肿块,磁共振结果高度怀疑是乳腺癌,并通过穿刺活检最终确诊了癌症的判断。

△磁共振检查显示,宋女士的左侧乳房有一个大小约5cm×5cm×2.5cm的肿块
通常情况下,5cm左右的乳腺癌大多需要先进行新辅助治疗(如化疗、内分泌治疗等),待肿瘤缩小降期后才能争取手术机会。但幸运的是,宋女士的乳房肿瘤虽大,穿刺却提示为原位癌,未侵犯皮肤和胸肌间隙,也未发现腋窝淋巴结转移——这意味着她可以直接接受手术,无需经历新辅助治疗的等待。
当赖勇强博士告知这一消息时,宋女士却打起了退堂鼓,她难以接受乳房缺失所带来的身体残缺。这份顾虑,其实也戳中了无数乳腺癌患者的痛点。作为全球女性最常见的恶性肿瘤之一,乳腺癌的传统治疗往往以“牺牲乳房”为代价,患者需承受身体的创伤,还可能陷入长期的焦虑、自卑等心理困境。
省二医同期手术,解决“美丽困境”
近年来,医学技术的进步突破了传统治疗的局限。对于符合治疗条件的早期乳腺癌患者,保留乳头的全乳切除术联合一期假体植入重建术,就可实现“根治肿瘤”与“重建乳房”的一步到位。这项技术的核心优势是,在同一次手术中,既彻底切除病变的乳腺组织,又即刻植入假体重建乳房,实现近乎自然的乳房外形,让患者无需在“生命”与“美丽”之间做选择。
不过,这项“两全其美”的技术有严格的适应症,并非所有患者都能适用,核心要求包括:属于早期乳腺癌(尤其是原位癌);无广泛的腋窝淋巴结转移、无皮肤侵犯;乳头无内陷、无血性溢液、无糜烂等异常表现;术前影像学检查未提示乳头乳晕复合体受侵犯;术中乳头后方组织快速病理证实为阴性。最终,赖勇强博士团队为宋女士顺利施行了手术,如今她恢复良好,乳房形态自然,也很快找回了自信。

△赖勇强博士团队为宋女士手术中
精准技术,重塑术后自然乳房
此次手术的成功,离不开赖勇强博士团队在“乳腺肿瘤外科的严谨”与“整形外科的审美”方面的双重技术加持,每一个环节都精益求精:切口于腋窝褶皱,隐蔽而不可见;应用超高清腔镜技术皮下切除全乳腺体,保留良好的乳头乳晕和皮肤;术中明确肿瘤未侵犯皮肤、乳头;最后,根据术前测量和术中称重确定宋女士乳房假体大小,术中植入后调整至双侧对称形态。
当然,患者和家属最关心的还是安全性:“一期重建会不会增加癌症复发风险?”据赖勇强博士介绍,临床研究证明(中华整形外科2025版乳腺癌乳房切除术后乳房再造临床技术指南),对于有指征的合适患者,保留乳头的全乳切除术联合一期假体植入重建术,并不会增加乳腺癌的局部复发风险和远处转移风险,其长期生存率与传统全乳切除术患者相比无显著差异。也就是说,这种术式在保留美丽的同时,不影响治疗效果和长期预后。
宋女士的故事,给所有女性敲响了警钟:乳腺结节不可忽视,乳房体查、年度B超检查等是乳腺癌早发现、早诊断、早治疗的关键。早治疗不仅能提高治愈率,更能让患者拥有更多治疗选择——包括保留美丽的一期重建术。
随着医学技术的发展,“生命与美丽兼得”早已成为可能。对于符合条件的乳腺癌患者,一期假体重建术不仅是身体的重建,更是心理的救赎。愿每一位女性都能守护好自己的健康与美丽,即使遭遇疾病,也能拥有优雅面对的底气。

专家介绍
赖勇强
医学博士、副主任医师
广东省第二人民医院民航院区胸壁外科研究所,乳腺、甲状腺专科副主任医师,医学博士。
从事普外科、乳腺甲状腺外科工作近20年,擅长乳腺结节诊断、微创旋切手术,乳腺癌的保乳、根治、腔镜微创手术,乳房、胸壁组织整形手术治疗。擅长甲状腺良恶性肿瘤诊治、微创手术治疗。
硕士毕业于南方医科大学外科学专业,博士毕业于圣玛丽安医科大学(日本),现任广东省健康管理协会乳房重建及美学专业委员会委员,广东省保健协会乳腺保健分会委员,广东省预防医学会乳腺癌防治专业委员会委员,广东省医院协会第一届乳腺外科管理专业委员会委员。致力于乳腺、甲状腺肿瘤诊疗的临床研究。
主持或参与省市级科研项目3项,第一作者在国内外期刊发表论文10余篇,其中SCI论文3篇。
作为一名中共党员,多次参与“方舱医院”抗疫、社区义诊等公益医疗活动,致力于新媒体乳腺健康科普宣传工作,工作中多次受到患者好评,2022年被单位评为“医德先进个人”称号。
出诊时间:
民航院区:周一、周三上午、周五全天(乳腺、胸壁肿瘤门诊:1号楼2楼216室)
挂号流程

医院地址导航
琶洲院区地址:广州市海珠区新港中路466号大院
地铁线路:地铁8号线赤岗站C1出口
公交线路:
· 赤岗总站:131A路、131B路、93路
· 赤岗站:130路、14路、184路、189路、226路、229路、239路、250路、252路、262路、264A路、270路、304路、37路、45路、583路、93路、B7快线、B7路、大学城3线、高峰快线6路
民航院区地址:广州市白云区机场路290号
地铁线路:地铁14号线云霄路站A出口
公交线路:
1、机场路岗贝路口(省二医民航院区)站:175路、251路、271路、298路、523A、807路、807A、886路、夜22路、夜35路、高速专线2路
2、云港路站:662路、980路、夜75
七所门诊部:海珠区新市头路183号七所门诊部
地铁线路:地铁3号线/8号线客村站B出口
供稿 民航院区
内容编辑 融媒体中心蒙彦伶
责任编辑 融媒体中心蒙彦伶
审核专家 胸壁外科研究所乳腺甲状腺专科副主任医师、医学博士赖勇强
审核 融媒体中心黄怡辛
发布 融媒体中心周颖怡
订阅后可查看全文(剩余80%)