经常感觉到反酸、烧心……
很多人以为是肠胃问题
然而,这背后可能藏着
一个鲜为人察觉的健康隐患——食管裂孔疝
除了引起消化不良的症状外
严重还可导致老年人无法进食
让人误以为是“大限将至”
我院疝与腹壁外科主任周太成主任医师提醒
如果经常出现反酸、烧心等不适的症状
可通过完善影像检查
进一步排查食管裂孔疝
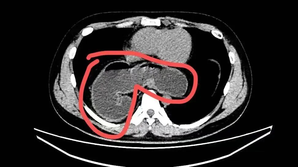
28岁小伙子的胃半个胃竟钻到胸腔里
日前,周太成接诊一位自述经常感觉消化不良的患者。林先生(化名)28岁,长期被反酸、嗳气、烧心等症状困扰,一直以为只是普通胃病,不舒服就去消化内科开药,每次吃药都有所改善,每年全身体检也并未发现异常,因此没进一步排查。直到去年10月,因为咳嗽不止并出现迁延不愈的肺炎,林先生在当地医院就诊,肺部CT检查中发现:一部分的胃竟然“跑”进了胸腔里!

影像资料显示,小伙子的部分胃通过食管裂孔疝“逃跑”至胸腔。
由于情况复杂,当地医院建议他转诊。经业内医生推荐,林先生来到了我院疝与腹壁外科就诊。经胃镜检查明确诊断,他患的是食管裂孔疝合并反流性食管炎,且伴有胃扭转。经综合评估,周太成医生团队为其施行了腹腔镜下食管裂孔疝补片修补+胃底折叠术,手术采用微创方式,术后三天林先生顺利出院。
为什么胃可以跑到胸腔里?对此,周太成解释,在人体的胸腔和腹腔之间有一层扁平肌肉——膈肌,中间有一个专门让食管穿过的天然孔洞,这个孔洞便是食管裂孔。当食管裂孔异常扩大时,原本待在腹腔的胃甚至与胃部连接的肠、脾脏等都可能发生转移,挤进了人体上部的胸腔处,形成食管裂孔疝。形成食管裂孔疝后,一方面胃酸容易出现反流,引发烧心、胀气等不适症状,另一方面腹腔的器官容易发生“位移”,影响器官正常的工作,部分位移器官例如胃部甚至发生扭转,导致人体无法正常进食。
注意:高龄、不良生活习惯均是疾病诱因
经了解,林先生虽然年轻,但是拥有多年的不良生活习惯史,“平时会抽烟、喝酒,每次喝白酒6、7两,一周两次或者更多。晚上睡得也比较晚,2、3点才睡,还爱吃宵夜。”
周太成介绍,身体有胸腔和腹腔,食管需要通过膈肌的天然孔口从胸腔进入腹腔,膈肌包绕着食管并能收缩,产生压力、抗反流的作用。如果这个天然裂孔变“松”了,抗反流机制就会受到影响。
除了老年人因为机体退化、肌肉变薄导致食管裂孔变大外,不良的生活习惯也会诱发这一疾病。“中青年人出现‘疝’可能是长期受到刺激的结果,例如长期抽烟、喝酒、喝咖啡、吃辣食、熬夜、饮食不规律等行为会持续刺激消化道,或者是肥胖的人群,腹压较大,慢慢地将正常的食管裂孔撑大,导致‘门’或者‘门框’松了,逐步形成食管裂孔疝。”周太成表示。

“食管裂孔疝一般分为四个类型,一型如果没有其他特殊症状的,可以观察;属于二、三、四型,符合相关手术指征的,考虑要手术处理。”周太成介绍,对于轻微的食管裂孔疝,没有产生反酸、反流症状的,可以观察,也可以通过药物治疗一段时间,观察是否有改善。对于症状较为严重并且合并有胃酸反流情况的,要评估这一疝是否符合手术指征,必要时需进行手术,“由食管裂孔疝引起的反流性食管炎,会导致胃酸反流侵蚀食管下段,长此以往,日积月累,会导致食管疤痕性收缩、狭窄,甚至进展为巴雷特食管,这是一种癌前病变的信号。”
因此,如果长期有消化不良症状,例如反酸、烧心情况,除了排查消化道疾病,也需考虑排查人体内部是否形成了食管裂孔疝导致症状的出现,才能对症治疗。

治疗:高龄并非手术禁忌
老年人也可有好的生活质量
严重的食管裂孔疝可导致无法进食,这一情况多见于高龄的老年人,有的人甚至误以为是“大限将至”。
在临床中接诊过较多的老年患者,周太成介绍,有的老年人因为食管裂孔变得太大,整个胃部都钻到了胸腔,甚至发生了胃部扭转,这导致非但不能进食,甚至也无法饮水,有的老年人只能靠输营养液维持人体运行,部分老年人会因为长期无法自主进食、器官衰竭而失去生命。

实际上,对于这一良性疾病,通过微创手术可以根治,高龄也并非手术禁忌。周太成表示,去年曾受邀前往澳门为一名80多岁老年患者会诊,这名老年人患有较为严重的食管裂孔疝,长达两个月无法进食,依靠针输营养液生存。尽管老人高龄且有基础疾病,但经过综合评估,周太成医生团队为老年人实施了腹腔镜下食管裂孔疝修补+胃底折叠术,术后老人很快恢复了自主进食,生活质量大大提高。
“手术过程中,我们先把‘逃跑’胃拉回腹腔位置,通过生物补片等方式修补过松的裂孔,再通过胃底折叠阻止胃部再次‘逃跑’,降低了胃酸反流的几率。”周太成介绍,通过微创手术的方式,不少高龄的老年人均可恢复自主进食,大大改善生活质量。
本文指导专家

疝与腹壁外科 周太成 主任医师
医学博士,博士后合作导师,美国宾夕法尼亚大学访问学者,中山大学附属第六医院疝与腹壁外科主任。
学术任职:中国医师协会外科医师分会疝外科青年专家工作组副组长、中国医师协会外科学分会胃食管反流专业委员会委员、广东省医师协会疝与腹壁外科分会副主任委员兼任胃食管反流学组组长、粤港澳大湾区疝外科医师委员会常委。
擅长领域:腹股沟疝、切口疝、食管裂孔疝、造口旁疝等疝病的微创治疗;胃食管返流疾病的外科治疗;胃癌、结直肠癌、胃肠道间质瘤等恶性肿瘤的微创治疗。
出诊时间:周一、周三下午
内容来源:广州日报新花城
记者:梁超仪
责任编辑:张婷婷
初审:张源泉、戴希安
审核:乐虞莹、吕竹
终审:李文敏
审定发布:李汉荣
订阅后可查看全文(剩余80%)