57岁的王阿姨,被膝关节疼痛困扰多年。在骨科门诊,常常遇到像王阿姨这样的患者,尝试过理疗、吃药等多种保守治疗,疼痛却反反复复,效果不佳。
日益加重的疼痛不仅让她行走不便,更严重影响了她的日常生活质量。
为求彻底诊治,王阿姨经人介绍找到了关节二科柴生颋主任医师,经过门诊详细检查后,柴生颋主任建议患者来院住院治疗。
精准诊断:揪出膝痛“元凶”
入院后,医护团队为王阿姨进行了全面的术前检查。结果发现,她长期膝痛的根源在于左膝的内翻畸形,也就是常说的“O型腿”。
进一步分析显示,这种畸形主要来源于胫骨侧。由于下肢力线的异常,使得她膝关节内侧的软骨面承受了过度的压力和磨损,从而引发了顽固性疼痛。

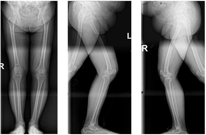
△ 术前X线
结合王阿姨的年龄、病史、症状、体征以及详细的影像学资料,我院关节二科团队在何伟教授、张庆文副院长、柴生颋主任的带领下,进行了全面严谨的术前评估与深入讨论。
考虑到患者年纪较轻(57岁),关节外侧间室的软骨状况良好,且有着较高的活动需求。最终,团队一致决定为她施行一种“保膝”手术——胫骨高位截骨术(HTO)。
数智化方案:让手术“看得见,摸得着”
为确保手术的万无一失和极致精准,团队此次借助数智化精准骨科技术为王阿姨进行术前规划。
1. 三维重建与虚拟手术
治疗团队将王阿姨的膝关节CT数据导入专业计算机软件,构建出她膝关节的三维虚拟模型。
在这个数字孪生模型上,可以从任意角度观察畸形程度,并进行精确测量。

2. 精准术前规划
治疗团队在电脑上模拟了截骨的角度、位置和撑开的高度,提前计算好需要矫正的精确度数,确保术后下肢力线能够恢复到理想状态,从根本上解除内侧压力。


3. 3D打印导板,化繁为简
基于最终确定的数字化手术方案,治疗团队利用3D打印技术,为她“量身定制”了专属的截骨导板。
这个导板在手术中能像“导航模板”一样,紧密贴合在预定截骨区域,引导医生进行最精准的操作,极大降低了传统手术中对医生经验的过度依赖和可能出现的误差。

手术成功,疗效满意!
手术过程非常顺利,术前设计的3D打印导板发挥了巨大作用,使得截骨和矫正一步到位。
术后复查X光片显示,王阿姨左膝的内翻畸形得到了完美矫正,下肢力线恢复至理想位置。

△ 患者术前、术后X线片对比

术后第二天,王阿姨就在治疗团队指导下开始扶拐下地活动。
目前,王阿姨正在顺利康复中,她手术效果非常满意,对未来恢复正常行走和生活充满了期待。

△ 患者术前、术后外观照对比
关于HTO、数智化骨科与保膝技术
01 什么是HTO手术?有哪些优势和适应症?
(1)核心原理: HTO手术并不直接处理磨损的关节面,而是通过截骨并调整角度,将身体重量从磨损严重的膝关节内侧,转移到相对健康的外侧,从而达到缓解疼痛、延缓关节老化、避免或推迟进行膝关节置换的目的。
(2)主要优势
◆ 保膝治疗:最大程度地保留了患者自身的膝关节结构和功能。
◆ 快速康复:相比关节置换,康复更快。
◆ 活动度佳:术后膝关节活动范围更接近正常生理状态。
◆ 为未来留有余地:即使未来仍需关节置换,手术效果也会更好。
(3)理想适应人群:相对年轻(通常<65岁)、活动量较大、膝关节畸形主要位于胫骨、且外侧软骨健康的骨关节炎患者。

02 数智化骨科技术带来了什么?
本次手术中应用的数智化技术,是精准医疗在骨科领域的完美体现。其优势在于:
◆ 精准化: 将手术从“经验依赖”推向“数据驱动”,实现毫米级、度级精准。
◆ 个性化: 为每位患者定制专属手术方案和工具,实现真正的“量体裁衣”。
◆ 安全化: 术前模拟能预见并规避风险,3D导板使复杂手术简单化,缩短手术时间,减少创伤。
◆ 可视化: 增强了医患沟通,让患者和家属能更直观地理解手术方案,提升治疗信心。
03 什么是保膝技术?
保膝技术是一种旨在保留膝关节原有结构和功能,延缓或避免膝关节置换手术的治疗理念和方法。
主要针对早期或中期的膝关节疾病,通过非手术或微创手术的方式,充分发挥中医药优势,借助数字骨科技术,纠正膝关节的力学失衡,减轻疼痛,改善关节功能,从而延缓膝关节的退变进程。
包括药物治疗,物理治疗、中医药适宜技术、运动康复,玻璃酸钠注射、干细胞、富血小板血浆(PRP)注射、微创手术(关节镜清理术)、胫骨高位截骨术等,具有手术创伤小,恢复快,并发症少,能够保留膝关节的自然结构和功能,患者术后的运动能力和生活质量相对较高等优势。

展望未来,我院关节二科(保膝专科)将继续紧跟科技前沿,深化数智化技术在截骨矫形、关节置换等各类手术中的应用,充分发挥中医药优势,秉持中西医结合阶梯治疗保膝理念、致力于以更微创、更精准、更个性化的医疗方案,不断丰富保膝治疗手段,充实优化膝关节病的阶梯治疗方案,遵循“能保守不手术,能保膝不换膝”的原则,为每一位骨病患者保驾护航,重启健康人生!
订阅后可查看全文(剩余80%)