11月20日是中国心梗救治日
“把握黄金120分钟,为心脏护航”
在心梗救治日来临之际
我院胸痛中心用一场极速救援诠释救治真谛
↓ ↓ ↓
11月19日凌晨,一场与死神的赛跑在我院紧急上演。70岁的钟先生突发胸闷痛,伴恶心呕吐、出冷汗,还接连排了2次烂便,休息后症状毫无缓解,凌晨2点被紧急送往当地医院就诊。
首份心电图提示V1-V4导联ST段抬高0.2-0.3mV,肌钙蛋白T高达254ng/L(阳性),“急性ST段抬高型心肌梗死”的诊断瞬间敲响警钟,当地医院立即联系我院胸痛中心启动转诊。
追问病史得知,钟先生有30年长期吸烟史(每2日1包),近期自测血压最高达150/90mmHg,却未遵医嘱服药,这两大高危因素早已为冠脉血管病变埋下隐患。

我院接到转诊指令后,胸痛中心绿色通道即刻全开,导管室、心血管科团队提前就位,备好手术器械静候患者。
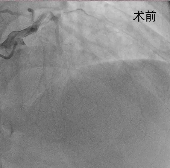
钟先生抵达医院后,直接送入导管室,冠脉造影清晰显示:前降支(LAD)近端完全闭塞,远端血流中断,心肌正处于“断供”坏死的危急状态。
心血管科团队当机立断,迅速实施PCI术,精准植入3枚支架,闭塞血管瞬间恢复通畅。从患者入院到血管成功开通,全程仅用46分钟,远优于国际指南60分钟的标准。




术后,团队采用中西医结合方案助力康复,通过中药汤剂、穴位贴敷、艾灸等中医特色干预,搭配规范西医护理,钟先生的胸痛、胸闷症状很快完全缓解,生命体征趋于稳定。


心梗救治,这些关键信息必须牢记!
1. 什么是急性心肌梗死?
急性心肌梗死是致命性胸痛的常见类型,因冠脉斑块破裂导致血管闭塞,心肌细胞缺血缺氧坏死。
其发病急、进展快,延误救治会导致严重致残甚至死亡,“黄金120分钟”内开通血管是救治核心。

2. 如何识别心梗信号?
(1)典型症状:胸骨后或心前区压榨样、紧缩样胸闷胸痛,持续≥15分钟不缓解,可能放射至肩背、颈部、下颌。
(2)不典型症状:恶心呕吐、腹痛腹泻、牙痛、不明原因出冷汗、呼吸困难、头晕乏力等,老年人、高血压患者需格外警惕(如钟先生的恶心呕吐、出冷汗表现)。
3. “两个120”是救命关键
(1)第一时间拨120:出现相关症状别硬抗,要立即拨打120,切勿自行驾车就医。
(2)抢抓黄金120分钟:心梗发作后120分钟内是血管开通的“黄金时间窗”,每延迟1分钟,大量心肌细胞坏死,及时开通能显著降低死亡率和致残率。

4. 心梗救治常见误区
症状轻微就硬扛,或想等天亮、家属回来再就医,延误黄金救治时间。
自行驾车或步行、搭车前往医院,途中可能加重病情,错失抢救时机。
盲目服用止痛药、降压药,掩盖病情且可能引发不良反应。
拨打120后占用电话联系亲友,导致医护人员无法及时沟通对接。
5. 高危人群自我护理要点
(1)戒烟限酒:立即戒烟并远离二手烟,避免酒精损伤血管。
(2)严控基础病:高血压、高血脂、糖尿病患者需按时服药,定期监测指标,避免波动损伤血管。
(3)健康生活:低盐低脂饮食,适度运动,避免熬夜和情绪激动,忌暴饮暴食。

(4)定期筛查:40岁以上人群每年查心电图、血脂,有基础病者增加筛查频次。
6. 术后康复核心要点
(1)西医规范用药:支架术后请在专业医师指导下用药,不可擅自停药,定期监测肝功能、肌酶。
(2)中医辨证调护:在医师指导下选用中成药或个性化中药汤剂,康复期可配合穴位贴敷、艾灸,饮食需辨证施膳(如气虚者食黄芪山药粥)。
(3)定期复查与监测:术后1个月、3个月、6个月、12个月复查心电图、血脂、心脏彩超,出现胸闷、胸痛、出血等异常立即就医。
广州中医药大学第三附属医院胸痛中心简介
我院胸痛中心是专注于急性胸痛救治的专业平台,以“极速响应+循证诊疗”为核心,构建了覆盖转诊、接诊、手术、康复的全流程绿色通道。

中心依托急诊科、心血管科、介入室等多科室联动,实现患者到院后快速分流、精准诊疗。在规范西医治疗基础上,中心融入中医特色诊疗方案,通过辨证施药、外治干预、康复指导等中西医结合方式,既保障急救效果,又助力患者术后快速恢复。
中心将持续坚守“时间就是心肌,心肌就是生命”的救治理念,以专业技术和高效服务,为百姓心脏健康筑牢“防护墙”。
我院胸痛中心365天、24小时开展介入手术,24小时通讯工具畅通无阻!
胸痛中心电话:18102826407
订阅后可查看全文(剩余80%)