他曾因反酸、烧心辗转难眠19年
4年前手术后虽短暂好转
症状却再度卷土重来
愈发严重
后辗转至我院
疝与腹壁外科主任周太成主任医师团队
凭借标准化“七步法手术操作”
为雷先生(化名)成功实施腹腔镜下食管裂孔疝翻修手术
助其彻底摆脱反酸困扰
医生提醒
食管裂孔疝,药物治疗仅能缓解症状,无法修复结构缺陷
外科手术是必要的根治手段
19年反酸路,术后复发陷困境
雷先生今年41岁,从19年前开始就饱受反复反酸、烧心伴呃逆的困扰,且没有明显诱因。4年前,他在外院接受了食管裂孔疝并行手术治疗,术后症状虽短暂缓解,但并未彻底消失,仍每两周发作一次。半个月前,不适感加重,经当地医院推荐来到我院进一步就诊。

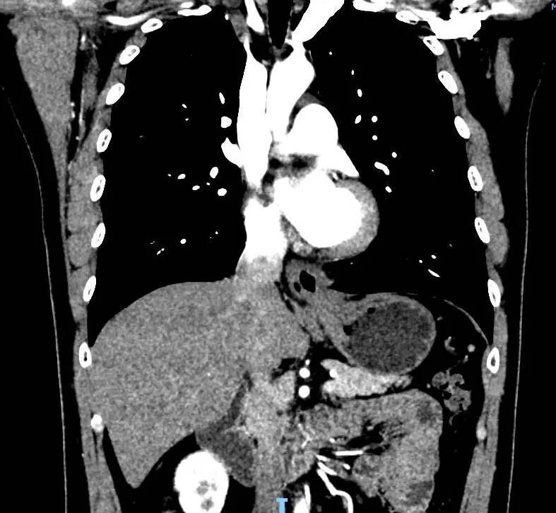
术前CT提示食管裂孔疝复发
经过系统检查,雷先生被确诊为食管裂孔疝术后复发。复发疝手术难度较大,主要面临两大挑战:一是既往手术导致的腹腔广泛粘连,解剖结构如同“迷宫”;二是二次修复需在瘢痕组织中精准分离,避免损伤食管或血管神经。
“七步法”精准导航,修复稳如磐石
面对这一复杂病情,团队多次开展病情讨论与预案推演,对患者的病情及术中可能遇到的情况进行多预案准备。手术当天,团队按照《食管裂孔疝及胃食管反流病腹腔镜规范化七步法手术操作指南(2025版)》为雷先生实施微创翻修手术。
精细分离粘连:在腹腔镜下,采用膜解剖理念层层分离粘连组织,清晰暴露食管裂孔区域;
还纳疝内容物:将“逃”入胸腔的胃底复位至腹腔,恢复正常解剖结构;
加固裂孔缺损:使用不可吸收缝线严密缝合扩大的膈肌脚,并植入个体化裁剪的防黏连补片,加固薄弱区,降低再复发风险;
重建抗反流屏障:实施保留迷走神经的胃底折叠术,既控制反流,又保护术后消化功能。
历时约3小时,出血量不足30ml,手术顺利结束。术后6小时,雷先生即可下床活动。在上消化道造影证实胃食管结合部通畅及造影剂无外溢之后,48小时恢复流质饮食。困扰他多年的反酸、烧心、呃逆等症状显著缓解,制酸药也顺利停用。
门诊随访至今未见症状复发。

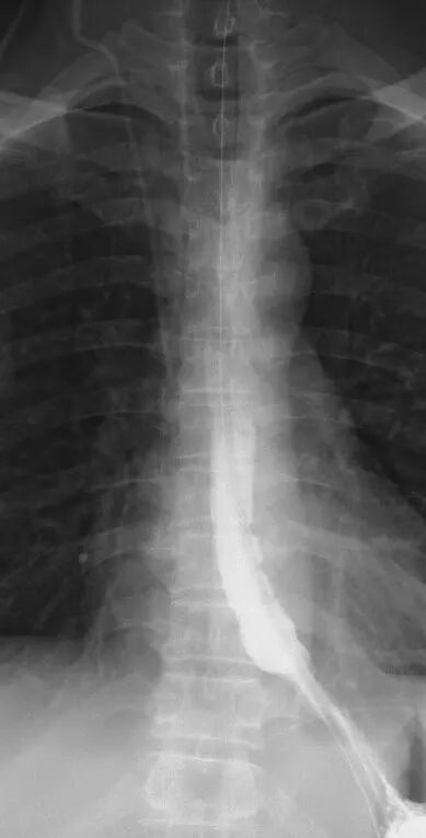
术后复查上消化道造影提示胃底恢复至膈肌平面以下,食管-胃结合部通畅
“标准工艺”破解复发难题,保障疗效同质化
我院疝和腹壁外科牵头制定了《食管裂孔疝及胃食管反流病腹腔镜规范化七步法手术操作指南(2025版)》。该指南凝聚了国内外最新循证医学依据及国内数十家医疗中心的经验智慧,将腹腔镜手术系统分解为探查、游离、修补、抗反流重建等七步标准化流程,致力于将复杂手术转化为可复制的“标准工艺”,确保每位患者都能获得稳定、优质的手术效果。
在这一指南的引领下,近两年,科室通过规范化操作、个体化补片应用及神经保护技术,已成功完成逾30例复发食管裂孔疝微创修复手术。据临床数据表明,食管裂孔疝术后复发率高达10%-30%,而我院通过上述标准化实践,显著降低了二次复发风险。团队将持续推进诊疗标准化进程,为更多患者提供安全、可靠的解决方案。

指南首页
科普时间
食管裂孔疝,外科治疗是必要手段
“小洞”惹出大麻烦
我们的胃本应待在腹腔,但当膈肌上的食管裂孔松弛扩大时,胃的一部分就可能“钻”进胸腔,形成食管裂孔疝。这一结构的异常,直接导致了其功能障碍——即胃酸反流,从而引发反酸、烧心、胸痛等典型症状。这些症状常常被误以为是胃病或冠心病,导致延误诊治。然而,若放任不管,反复的酸反流刺激可能诱发食管器质性病变、甚至食管癌。
药物治疗VS手术治疗?
对于食管裂孔疝,初期治疗常使用质子泵抑制剂(如奥美拉唑)等药物来抑制胃酸,并配合生活方式调整。然而,药物治疗只能缓解酸反流的症状,并不能修复其根本的解剖结构缺陷——即那个松弛扩大的食管裂孔。因此,对于疝囊较大、症状反复发作或已出现食管炎、巴雷特食管、食管狭窄等严重并发症的患者,药物效果往往打折扣,症状可能难以“断根”。此时,外科手术便成为解决问题的关键选择。
目前,腹腔镜食管裂孔疝修补术已被视为外科治疗的“金标准”。医生仅需在腹部做几个小切口,利用腹腔镜即可完成手术,具有创伤小、疼痛轻、恢复快、并发症少等优点。手术的目标非常明确:一是将疝入胸腔的胃等器官复位回腹腔;二是修补松弛的裂孔,用补片加固防复发;三是配合进行胃底折叠,重建抗反流屏障,有效控制胃酸反流。
医生将综合评估疝的大小、类型、症状严重程度及并发症等具体情况,据此制定个性化的治疗方案。
医生提醒,如果出现持续性反酸、烧心,请及时前往医院疝外科或者胃食管反流门诊就诊,明确是否为食管裂孔疝所致。
(温馨提示:本文内容仅供科普参考,个体差异可能导致诊疗效果不同,请遵从主治医师的治疗方案。)
本文指导专家

疝与腹壁外科 陈双 教授
医学博士,留美博士后,博士研究生导师,教授,主任医师,中山大学附属第六医院疝与腹壁外科学科带头人。
学术任职:中国医师协会外科分会疝和腹壁外科专业委员会首任主任委员、中华医学会外科分会疝和腹壁外科学组副组长、广东省医师协会外科分会疝和腹壁外科专业委员会主任委员、广东省医学会疝和腹壁外科学组组长、广东省健康管理委员会结直肠专业委员会常委、广东省胃肠外科分会常委、广东省抗癌协会大肠癌专业委员会常委。
擅长领域:从事普通外科的临床诊治30余年,在胃肠肿瘤和疝外科治疗方面有丰富的临床经验,是推动我国疝外科学科发展的学科带头人之一。
在国内较早的提出疝外科治疗的规范化与培训,是制定我国疝外科临床诊治指南的开拓者与执行人。熟练掌握腔镜技术,擅常胃肠道肿瘤的手术治疗和各类疝外科治疗,尤其善于此类疾病的疑难病处理等。
出诊时间:雅和门诊周三上午

疝与腹壁外科 周太成 主任医师
医学博士,博士后合作导师,美国宾夕法尼亚大学访问学者,中山大学附属第六医院疝与腹壁外科主任。
学术任职:中国医师协会外科医师分会疝外科青年专家工作组副组长、中国医师协会外科学分会胃食管反流专业委员会委员、广东省医师协会疝与腹壁外科分会副主任委员兼任胃食管反流学组组长、粤港澳大湾区疝外科医师委员会常委。
擅长领域:腹股沟疝、切口疝、食管裂孔疝、造口旁疝等疝病的微创治疗;胃食管返流疾病的外科治疗;胃癌、结直肠癌、胃肠道间质瘤等恶性肿瘤的微创治疗。
出诊时间:周一、周三下午
感谢黄恩民对本文的支持
责任编辑:刘山青
初审:张源泉、戴希安
审核:乐虞莹、吕竹
终审:李文敏
审定发布:李汉荣
订阅后可查看全文(剩余80%)