近日,在我院普通外科与特聘专家罗葆明教授的精密协作下,成功为一名甲状腺乳头状癌患者实施微波消融术,展现了现代多学科合作模式在甲状腺疾病治疗中的卓越成效。
根据最新国际指南,甲状腺微波消融术已被推荐为T1aN0M0级甲状腺乳头状癌的首选治疗方法,对于T1bN0M0级病例也被列为可选择的有效治疗手段。这一治疗策略的确立,为患者提供了除传统手术外的优质选择。
多学科协作,精准治疗新模式
此次甲状腺微波消融术的成功实施,充分体现了现代医学多学科协作的重要价值。
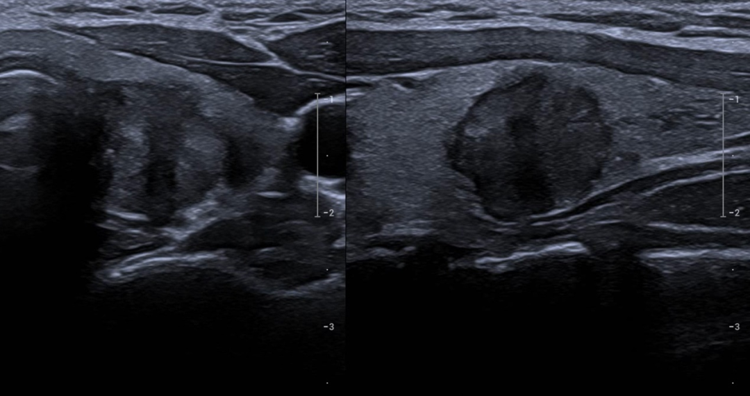
患者的甲状腺乳头状癌结节位于左侧叶,贴近内侧包膜且临近气管,手术风险相对较高。

面对这一复杂病例,我院普通外科团队首先进行了全面的术前评估,包括声带功能检查和凝血功能评估,确保患者具备接受微创治疗的基本条件。超声专家则发挥其在影像引导和微创治疗方面的专长,确保手术的精准性和安全性。
这种协作模式不仅提高了治疗成功率,更为患者提供了个性化的医疗服务。通过不同专科的专业优势互补,患者能够获得最适合其病情特点的治疗方案,实现了医疗资源的优化配置。

罗葆明教授:超声消融领域的领军专家
罗葆明教授作为中山大学孙逸仙纪念医院超声科主任,在甲状腺微波消融领域拥有丰富的临床经验和精湛的技术水平。
作为中国医师协会浅表器官超声专业委员会主任委员、中华医学会超声医学分会常委,罗教授不仅在学术研究方面建树颇丰,更在临床实践中积累了大量成功案例。
在此次手术中,罗教授凭借其深厚的专业技术和丰富的临床经验,为患者精准注射隔离液,确保重要结构的安全保护。通过超声实时引导,罗教授采用"移动射击"技术,确保消融范围完全覆盖病灶并留有足够的安全边界。
整个手术过程仅用时30分钟,患者术后即可自行下床活动,充分展现了微波消融术的微创优势。
甲状腺微波消融术的独特优势
1. 技术优势:微创治疗的卓越表现
甲状腺微波消融术相比传统手术具有显著优势。根据最新的多中心随机对照研究显示,微波消融术的技术成功率可达91-100%,而并发症发生率仅为1-6.6%,远低于传统手术的10-20%。
2. 微创性与安全性并重
微波消融术采用细针穿刺,创伤极小,仅在皮肤上留下针孔大小的痕迹,避免了传统手术的颈部切口和永久性瘢痕。研究表明,95%以上的患者对手术的美观度表示满意,这对于注重外观的患者群体具有重要意义。
3. 功能保护与生活质量
传统甲状腺手术常常需要切除部分或全部甲状腺组织,导致患者需要终身服用甲状腺激素替代药物。而微波消融术能够精准消融病灶,最大程度保留正常甲状腺组织和功能,甲状腺功能正常率可达95%以上。
术后效果评估与随访管理
术后超声造影检查显示,患者的甲状腺结节血供完全阻断,消融效果良好。这一结果与国际研究报告的数据高度一致,证明了微波消融术在甲状腺癌治疗中的可靠性和有效性。

根据国际随访标准,患者将接受定期的超声检查和甲状腺功能监测。研究显示,接受微波消融治疗的患者在长期随访中表现出良好的预后,5年疾病进展率仅为4-6.8%,与传统手术治疗效果相当。
患者教育与知情决策
在整个治疗过程中,医疗团队高度重视患者的知情同意和心理支持。详细向患者介绍了各种治疗选择的优缺点,包括传统手术、消融治疗和观察等待等策略。最终,患者在充分了解各种治疗方案后,选择了微波消融治疗,体现了现代医学"以患者为中心"的服务理念。
这种充分的沟通和教育不仅有助于患者做出明智的医疗决策,更增强了患者对治疗的信心和配合度,为手术的成功奠定了重要基础。

技术发展前景与临床应用
随着设备技术的不断进步和操作技术的日趋成熟,甲状腺微波消融术的应用范围正在不断扩大。从最初仅用于良性结节的治疗,到现在可以安全有效地处理符合条件的甲状腺癌,该技术已成为甲状腺疾病治疗的重要组成部分。
最新研究还显示,微波消融技术在治疗甲状腺功能亢进、继发性甲状旁腺功能亢进等疾病方面也展现出良好的应用前景。这为更多甲状腺相关疾病患者提供了微创治疗的可能。
随着循证医学证据的不断积累和技术标准的日趋完善,甲状腺微波消融术必将在甲状腺疾病的综合治疗中发挥更加重要的作用,为广大患者带来更加安全、有效、微创的治疗体验。相信在多学科团队的共同努力下,这一创新技术将惠及更多患者,推动甲状腺疾病治疗水平的不断提升。
订阅后可查看全文(剩余80%)