自中山大学孙逸仙纪念医院花都院区
正式投入运营以来,
多个科室相继完成院区
具有里程碑意义的“首例手术”。
近期,
花都院区再创多项新纪录,
为更多患者带来健康福音。
精诚护“心”
重症救治与精准治疗齐突破
4月21日,在心血管内科主任王景峰教授的指导下,在花都院区DSA(数字减影血管造影)介入平台的配合以及IABP(主动脉内球囊反搏)的辅助下,林茂欢副主任医师带领曹正宇助理研究员和王春红主管护师成功抢救一例急性心梗合并急性左心衰的重症患者,顺利完成急诊介入手术。
据悉,患者为55岁女性,因血糖控制不佳就诊。住院期间,她突发胸痛,诊断为急性非ST段抬高型心肌梗死,其冠脉三支血管严重病变,其中一支血管完全闭塞,术中出现急性左心衰发作,病情危急。团队迅速启动抢救预案,在药物抢救的基础上及时置入IABP辅助循环治疗,经过半个小时的积极抢救,患者转危为安,生命体征稳定。



术前(左一、左二)、术后(右一)
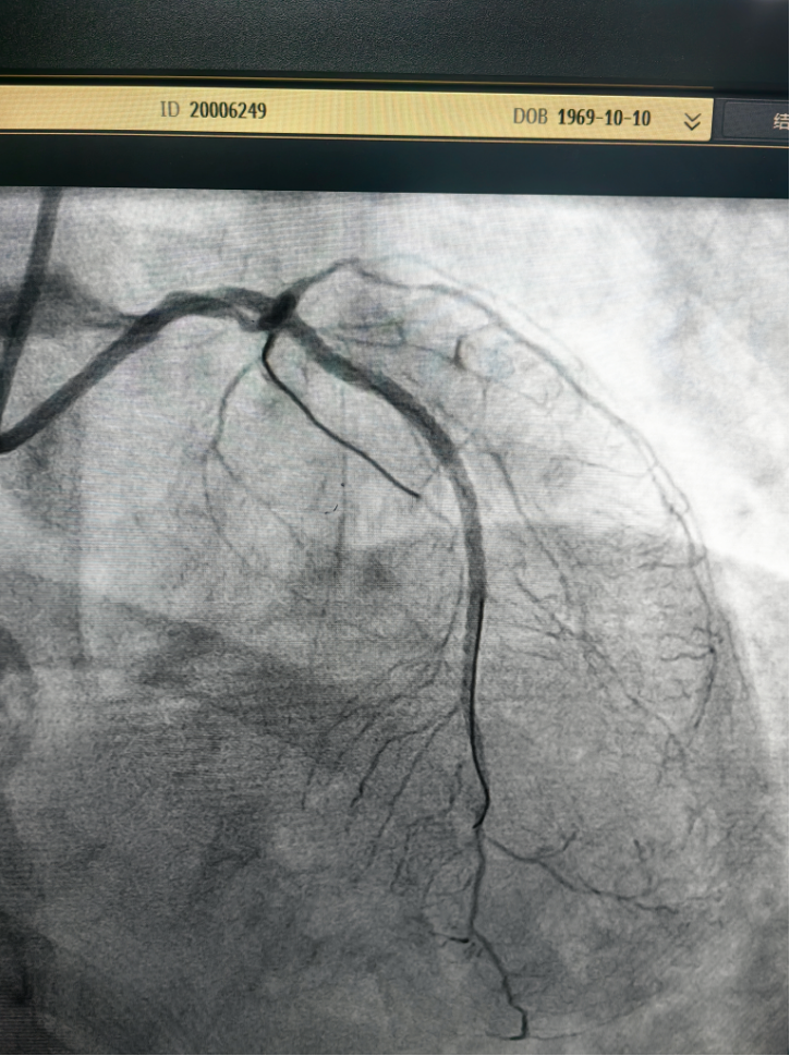
此外,一名74岁的男性患者因PCI(经皮冠脉介入术)术后17年再发胸痛前来就诊。冠脉造影显示他前降支近端模糊病变,肉眼判定其狭窄程度并不严重,但患者症状典型。
林茂欢副主任医师带领团队使用IVUS(血管内超声)技术辅助诊断,证实该处管腔面积明显狭窄,最终为他精准植入两枚支架。术后,患者管腔面积显著增加,症状完全缓解。这一手术的成功实施,标志着花都院区冠脉精准介入诊治迈入了新的阶段。



术前照片

术后照片
自开区之初,心血管内科就高度重视危急重症救治服务能力建设,积极购置IABP等抢救设备,多次组织相关人员联合急诊科等科室进行培训演练,倾力打造心血管危急重症全流程救治体系,致力于为患者提供高效、精准的诊疗服务。
单日8台微创手术
肩腕疾病诊疗迈入“快车道”
4月2日,运动医学科杨睿教授与侯景义副主任医师团队在花都院区成功完成了8台微创手术,涉及肩、腕、手部疾病的治疗,以实际行动推动“大病不出区”医疗目标的实现。
患者李阿姨因肩袖损伤,饱受疼痛的折磨,经核磁共振检查确诊后,杨睿教授团队为其实施了首例肩关节镜下肩袖修补术。术后,李阿姨的疼痛立即得到缓解,肩关节功能逐步恢复。

首例肩关节镜下肩袖修补术
侯景义副主任医师团队创新应用“零切口”微创技术,为腕管综合征和“扳机指”患者进行了松解治疗。通过超声精准定位,团队仅用针线就完成了腕横韧带切割,术后患者仅留有针孔大小创口,无需拆线,且症状显著改善。据悉,“超声引导下侯氏针线腕横韧带松解术”是侯景义副主任医师独创的、零切口的微创治疗方式,治疗腕管综合征,只需要一根针一条线,通过两个小孔,就可以解决患者长期以来的手指麻木,夜间症状加重等问题。
“太神奇了!伤口只有针孔大小,而且免去了拆线的麻烦,真是微创中的微创”,患者陈先生激动地说。

超声引导下侯氏针线腕横韧带松解术
“首例手术的成功开展,不仅是技术在花都院区的落地,也是优质医疗资源扩容下沉的生动实践”,杨睿教授表示。未来,运动医学科将始终坚持“以患者为中心”,发挥学科优势,让前沿的运动医学诊疗技术惠及更多群众。
多学科联手
匠心修复诠释“逸仙担当”
患者张先生确诊为晚期牙龈癌伴双肺部多发渗出,病情复杂危重。面对极高的手术风险,口腔科李劲松教授联合呼吸内科、急诊科ICU、肿瘤内科及麻醉科等多学科专家进行多学科会诊,为张先生制定了个性化、“一站式”的精准治疗方案。

多学科会诊现场
口腔科林钊宇副主任医师团队在两周内完成了10台口腔癌根治手术。手术涉及舌、牙龈、口底等多个部位,团队通过显微外科技术精准修复缺损。手术平均在3小时内完成,术后患者恢复良好,展现了团队精湛技术实力。

林钊宇副主任医师团队手术现场
其中,患者赵先生因牙龈及颊部溃疡型病损就诊,经过病理活检,确诊为晚期颊黏膜鳞状细胞癌。经过术前3周期的新辅助化免联合治疗,林钊宇副主任医师团队为其成功进行了颊癌扩大切除、颈部淋巴结清扫及腓骨肌皮瓣游离移植修复术。赵先生术后恢复良好,并为团队送上锦旗。

患者为林钊宇副主任医师团队送上锦旗
突破高龄“禁区”
用技术重新定义手术可能性
84岁的苏阿婆因双下肢动脉硬化闭塞症住院治疗。住院期间,检查发现其右侧颈内动脉重度狭窄,病情严重,遂转至我院花都院区神经科接受进一步治疗。
面对患者高龄,既往冠心病多支病变、房颤、甲亢等基础疾病较多,手术风险较大的情况,神经科在术前组织了多学科讨论,制定了完整的手术预案。
在做好充分术前准备工作后,杨新光教授及李晨光主治医师于局麻下为苏阿婆完成了花都院区首例高龄患者颈动脉支架植入术。现苏阿婆已康复出院。

首例高龄患者颈动脉支架植入术
数分钟灭活结节
精准微创治疗再创新高
4月9日,花都院区超声介入诊疗室正式投入使用。超声科罗葆明教授团队为一名甲状腺结节患者成功实施了消融手术。术中,团队利用高清超声引导系统与智能消融设备,精准布针,数分钟内就完成了消融,术后超声造影显示结节完全灭活。

消融手术现场
据罗葆明教授介绍,新启用的超声介入诊疗室配备高精度超声导航系统、智能消融设备和手术安全监控平台,能够精确定位甲状腺、肝脏等部位的肿瘤,并实时监控消融温度,从术前路径规划、术中风险预警到术后效果评估,均严格执行高标准操作。
这一高标准介入诊疗单元的启用,不仅能为患者提供“创伤小、恢复快、预后好”的优质医疗服务,还能通过规范化技术推广,助力区域微创诊疗水平提升,让复杂疑难病例无需远赴外地即可得到高水平救治,为区域超声医学高质量发展注入新动能。
百年逸仙,花都启航。
作为“一院多区”战略的重要支点,
花都院区将始终践行
以“患者为中心”的服务理念,
以更精湛的医术、
更优质的服务、
更智慧的医疗,
持续助力区域医疗卫生事业高质量发展,
为人民群众健康保驾护航!
来源:中山大学孙逸仙纪念医院
编辑:聪杰
订阅后可查看全文(剩余80%)