即将面临肠癌手术
67岁的黄叔却松了一口气
原来他慕名到我院行手术
却被检查发现的动脉瘤挡在手术室外
解决动脉瘤成为当务之急
传统微创堵塞为先
保生命要牺牲功能
世间安有双全法
压力全给到医生
我院介入科主任张波主任医师团队
开启一场血管“保卫战”

察敌:慕名前来做肠癌手术,却查出新的“瘤”
黄叔(化名)今年67,本应享受退休生活的他,在例行体检时发现了结肠肝曲癌,慕名来结直肠外科行肠癌治疗,但在术前检查发现腹主动脉远段-双侧髂总动脉-左侧髂内动脉瘤,破裂风险大,也难以耐受肠癌手术。可谓一波未平,一波又起。

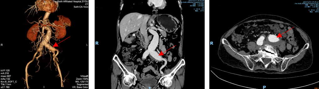
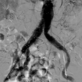
术前CT等影像资料:动脉瘤
解决动脉瘤成为当务之急。于是,黄叔找到我院介入科主任张波主任医师寻求解决之道。
术前CTA重建提示:腹主动脉远段、双侧髂总动脉、左侧髂内动脉管腔扩张,左侧髂总动脉瘤最大直径超过42mm。
张波表示,动脉瘤不是一般认知的肿瘤,是动脉壁上的异常突出,突出部分更薄、不规则,易局部破裂出血,影响到整条动脉。传统的微创治疗会采用覆膜支架隔绝,在突出部位所在血管加置管道引流,让血液不流经突出处,隔绝后,即便突出部分破裂,也不会影响到整条血管的功能。
根据黄叔的影像资料,张波团队发现他双侧髂总动脉瘤瘤体较大,累及双侧髂内、髂外动脉的分叉口。在覆膜支架隔绝时,为获取足够的锚定,就需要栓塞及封堵双侧髂内动脉。
髂内动脉是臀肌、盆腔脏器及下肢的重要供血血管,如果封堵有可能出现跛行、臀肌酸痛、性功能障碍等缺血并发症。研究表明,如果双侧髂内动脉隔绝,臀肌、性腺的并发症发生率及程度显著高于保留一侧髂内动脉人群。
筹谋:血管功能和生命健康,全都要
虽然能解决“瘤”的问题,但会出现血管功能上的缺失,黄叔对此犹有疑虑,询问是否还有别的办法。
考虑黄叔肠癌合并腹主动脉及髂动脉瘤,病情复杂,张波团队认为应行腹主动脉瘤及双侧髂动脉瘤支架隔绝术,同时,为避免双侧髂内动脉栓塞导致的相关并发症,可采用目前较为先进的IBD技术(髂动脉分支覆膜支架植入),在髂内动脉瘤临近上的分支处也进行覆膜支架植入,为黄叔保留正常的右侧髂内动脉。

张波指出,该技术操作较为安全,并发症发生率低,远期通畅率高,成为目前较为理想的腔内重建髂内动脉解决方案。此外,黄叔因左侧髂内动脉血栓形成,管腔狭窄,但远端侧枝代偿尚可,暂不行左侧髂内动脉重建。
对敌:黄豆大的“决胜通道”,管中“用兵”境象万千
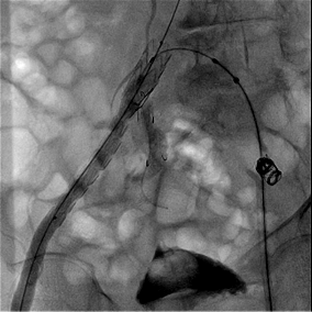
在手术中,瘤区巨大、血管扭曲、器械推送和狭窄血管支架通过等都是对主刀医生的考验,和临床打交道二十多年的张波,熟稔地操作器具,看准时机,把握进退;榫卯相接,严丝合缝,卡点恰到好处。2个多小时的手术,仅在双侧股动脉各留一个黄豆大小穿刺口,成功拆除腹主动脉瘤及双髂动脉瘤,同时重建了右侧髂内动脉。
黄叔第二天就能正常下床活动了,无明显并发症。介入术后经过半个月修养,再次返院顺利行肠癌根治手术,并进行规范化抗肿瘤治疗及随访。



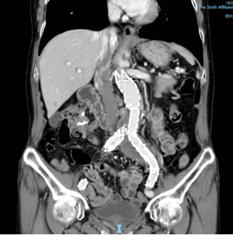
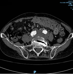
术中行右侧髂内动脉IBD及腹主动脉-双侧髂动脉瘤支架隔绝



术后半年复查CT显示腹主动脉-双侧髂动脉瘤完全隔绝,右侧髂内动脉血流通畅。
复盘:堵不如疏,自有其法
张波介绍,在临床实践中,腹主动脉瘤伴随髂动脉瘤的情况较为常见。统计数据显示,单侧髂动脉受累的患者比例为43%,而双侧同时受累的比例为11%。目前,腹主动脉覆膜支架腔内隔绝术(EVAR)已成为治疗腹主动脉瘤的首选手术方式。在处理累及髂内动脉的病例时,传统的治疗方法往往采取“堵塞”策略以降低术后内漏的风险,这包括使用弹簧圈栓塞或血管塞技术。但是,临床经验表明“堵塞”不如“疏通”。在髂内动脉被栓塞的患者中,约有50%会出现临床症状,其中最常见的是臀肌跛行,发生率在18%至50%之间;其次是性功能障碍,发生率在12%至30%之间;其他可能的并发症包括肠道缺血和腰骶部疼痛等。
相比之下,髂动脉分支支架技术(IBD)展现出显著优势。该技术在解剖适应性方面更为出色,能够实现更为理想的腔内血管重建,从而降低并发症的发生率,提高手术成功率,并能够适应多种不同的入路方式。IBD技术的应用,为那些需要保留髂内动脉血供的患者提供了一种理想的治疗选择,这在现代血管微创治疗中具有重要意义。

中山六院介入科专注于肿瘤及血管性疾病的介入微创治疗。肿瘤性疾病主要包括原发性肝癌、消化道肿瘤、肠梗阻、肝肺转移瘤、骨转移瘤、盆腔肿瘤、肝血管瘤及妇产科疾病等。血管性疾病主要包括肝硬化门脉高压症、消化道出血、胸主动脉夹层、腹主动脉瘤、下肢动脉硬化闭塞症、糖尿病足、下肢静脉曲张、深静脉血栓、肺栓塞、透析动静脉内瘘闭塞等。
本文指导专家

介入科 张波 主任医师
医学博士,主任医师,博士生导师,介入科主任。
医疗特长:从事肿瘤与外周血管介入诊疗临床及基础科研工作20年。作为共同参与人,获得广东医学科技奖一等奖。坚持以临床问题为导向开展科学研究,让研究成果转化为临床应用。
近年来主持国家级及省部级自然科学基金5项,发表论文30余篇,其中高水平期刊收录20余篇;申请国家专利3项;牵头开展了2项多中心RCT临床研究。已培养研究生7人,其中硕士研究生4人,博士研究生3人。连续主办了4届“中山大学消化道介入论坛”及4期国家级继续教育“胃肠道疾病介入诊治新进展”学习班。将胃肠道介入技术向基层医院普及,已惠及数千名患者。
出诊时间:周二全天(肿瘤与血管介入专科门诊)
感谢刘洋对本文的支持
责任编辑:张婷婷
初审:戴希安
审核:简文杨、乐虞莹
终审:李文敏
审定发布:李汉荣
稿件来源:中山六院
订阅后可查看全文(剩余80%)