近日,
中山六院结直肠外科一区护士长陈晓琼
一条朋友圈,
让人痛心。
29岁,肠癌晚期,
字字扎眼。
这种疾病发病早、会遗传、能致命,
从出现异常到癌变有近10年时间。
有数次翻盘的机会,
也可以通过现代医学技术阻断致病基因遗传,
但容易在日久经年中消磨人们的警惕。

听到这句话,医生让他马上做肠镜,
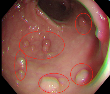
发现数百枚息肉!
朋友圈中的提到的小儿子,即29岁的小秦(化姓),他近日到我院结直肠外科一区周家铭副主任医师处就诊。小秦自述1月前大便不成形,每天排解大便1-2次,此前也有类似的情况。这在消化道疾病中是相对轻微的症状。周家铭继续询问家族史,听到一句话,他面色凝重。
“我母亲患有结肠癌,我的亲姐姐因为结肠癌去世了。”
“高度怀疑是家族性腺瘤型息肉病(FAP),马上去做肠镜!”
在肠镜检查时,医生看着屏幕,觉得“眼花缭乱”,密密麻麻的肠息肉有数百枚!
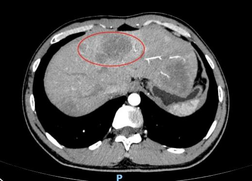
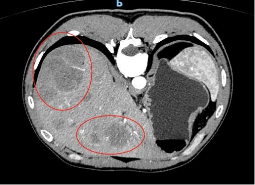
随后的病理结果提示,小秦确诊结直肠多发息肉病,其中多枚较大息肉已经进展为腺癌,且CT显示肝脏有异常结节,考虑癌细胞转移,已经到了晚期,仅切除肠道病变对生存意义不大。目前小秦在我院肿瘤科进行化疗,希望能将肿瘤缩小转化,创造手术机会。医护对此都感到很痛心。



(肠息肉—癌前病变—肿瘤)


(CT下显示肝脏转移)
周家铭介绍:“家族性腺瘤型息肉病(Familial Adenomatous Polyposis, FAP)以胃肠道,特别是结直肠中出现大量腺瘤性息肉为特征。其由腺瘤性息肉病基因(Adenomatous Polyposis Coli, APC)的胚系突变引起,呈常染色体显性遗传方式,男女患病几率相等。FAP患者如果不进行治疗,几乎100%会在40岁之前发展为结直肠癌,且每个FAP患者的子女都具有50%的概率患病。”
同样的疾病,不一样的命运,根源或许在此

说到FAP,周家铭对另一个家族印象深刻。当时,正在就读临床医学专业的小陈(化姓)长期便血,开始以为是痔疮,用药后无改善,到我院行肠镜检查,发现肠内遍布息肉,经询问,家中父亲患结直肠癌,大概35岁就去世了。
比较幸运的是,因为发现得早,还没有癌变,小陈接受了手术治疗,已经完全恢复正常生活。他也听从了医生的建议,劝说家人定期进行胃肠镜检查。三年后,小陈的二姐确诊结直肠癌,但经历了手术和化疗后恢复健康,还生育了两个孩子,家庭幸福和乐。小陈的大姐至今无该方面的异常情况,仍坚持每年进行胃肠镜检查。
最近,小陈接受基因测序,果然APC基因结果提示存在突变。
周家铭指出:“FAP通常在青少年或成年早期开始出现症状,大多数患者在20-30岁之间确诊。
预防性手术治疗对提高患者生存率至关重要。早期接受预防性手术的患者通常有更好的预后。已经有研究的长期随访显示,25岁前接受手术的患者,其70岁时的累积生存率为75%,而25岁后接受手术的患者,这一比率降至50%。所以我们建议该类患者在成年后就可以进行手术,一来这个时候的身体机能比较好,恢复得快,二来降低了癌变的风险。”
早期干预能有多早?可以从胚胎就开始!
周家铭提醒:“对于已经发病的患者,手术是改变命运的最好办法,而且对于术后患者,也要进行长期的跟踪随访。患者的后代应考虑尽早进行相关基因检测,及早敲响警钟。”

我院生殖医学中心李晶洁副主任医师介绍,随着生殖医学的发展,现在已经可以利用三代试管婴儿中的胚胎植入前遗传学检测-单基因病技术 (Preimplantation Genetic Testing for Monogenic Disorders,PGT-M),帮助患者阻断常染色体显性遗传疾病的基因传递,从而有效避免困扰家族的遗传疾病向下一代遗传。生殖医学中心也接诊过类似的患者案例,并且成功阻断了疾病基因的传递。
PGT-M的核心原理是在胚胎植入母体之前,通过分子生物学技术检测胚胎的遗传物质,识别出携带致病基因的胚胎。这样,只有那些不携带特定遗传疾病基因的健康胚胎才会被选中用于子宫内植入,从而阻断遗传病的传递。
在治疗中,胚胎学家在实验室适宜的条件下培养胚胎至囊胚期,从每个胚胎中取出少量细胞进行遗传学检测。在胚胎形成5-6天后,通过PGT-M技术检测细胞样本,识别出不携带特定常染色体显性遗传病基因的胚胎。选择健康的胚胎移植到母体的子宫内。从而实现常染色体显性遗传疾病的阻断。

一旦发现任何症状,及早就医干预,还可以通过三代试管婴儿技术及时阻断致病基因传播。总之,虽然FAP是与生俱来的宿命,但却是人定胜天可以改变的命运。
本文指导专家

结直肠外科 周家铭 副主任医师
博士,中山大学附属第六医院结直肠外科副主任医师,本硕博均毕业于中山大学临床医学,师从汪建平教授及黄美近主任医师。
擅长领域:从事结直肠癌外科15年,主诊结直肠癌及根治性手术逾2000台,近三年年均诊疗病例数超250例。主攻结直肠癌的手术治疗、手术标准化流程及质量控制、结直肠癌肝转移的免疫微环境研究、结直肠癌晚期肠梗阻的治疗等。发表结直肠专科领域高水平论文11篇,中文核心期刊论文5篇。主持各级科研基金课题3项。
出诊时间:周二下午

生殖医学中心 李晶洁 副主任医师
博士,硕士生导师,中山大学附属第六医院生殖医学中心副主任医师。
学术任职:中国医师协会生殖医学专委会生育力保护学组委员,广东省健康管理学会生育力保护专委会秘书长,广东省药学会免疫抑制药物专委会常委,广东省药学会妇产药学专家委员会委员,广东省医师协会生殖女科专业组委员,广州医师协会小儿外科分会委员。
擅长领域:具有生殖药理学背景,擅长个性化应用各种促排卵方案;负责本中心生育力评估及生育力保护及保存的具体工作,并对已出现卵巢早衰的青春期患者生长发育诱导治疗、对已出现卵巢衰竭的育龄女性生殖内分泌调理;具有娴熟的宫腔镜手术技术,对宫腔粘连以及相关的子宫内膜薄、子宫疤痕憩室、子宫内膜息肉的诊治有丰富经验;擅长调理卵子发育障碍、卵子质量低下导致的低生育状态及复发性流产。
出诊时间:周一至周五全天
责任编辑:张婷婷
初审:戴希安
审核:简文杨、乐虞莹
终审:李文敏
审定发布:李汉荣
稿件来源:中山六院
订阅后可查看全文(剩余80%)