
在医学领域
超声技术就像一位神奇的“侦探”
不断为我们揭示身体内部的奥秘

今天
河源市中医院陈园医生给大家
重点介绍的是超声家族中的一位 “新星”
肌骨超声

肌骨超声是什么?
肌骨超声可不是我们传统认知中的普通 B 超哦。它是应用高频超声来诊断肌肉骨骼系统疾病的一种先进检查方法。利用超声波的反射原理,肌骨超声就像一个超级 “放大镜”,能够对人体的肌肉、肌腱、韧带、关节、神经等组织进行清晰成像,让医生可以一目了然地看到这些组织的结构和病变情况。

适用范围超广泛
肌肉损伤不用愁
无论是挫伤、撕裂伤,都能精准定位,发现问题所在。

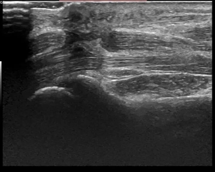
↑肱二头肌长头肌腱断裂
肌腱病变早发现
急慢炎症,撕裂伤等病变,肌骨超声能判断损伤的位置及性质。
关节疾病全掌握
关节炎、滑膜炎、关节腔积液、半月板损伤以及韧带肌腱附着骨端的小撕脱性骨折等。

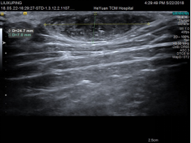
↑滑膜炎
神经病变有对策
神经卡压、神经炎,神经占位及断裂伤等病变,肌骨超声能为诊断提供重要依据。


↑正中神经切割伤缝补术后再断裂
软组织肿物无处藏
脂肪瘤、血管瘤、腱鞘囊肿等软组织肿物,肌骨超声可以确定肿物的性质、大小和位置。

↑典型牛奶咖啡斑


↑神经纤维瘤病
小骨折新视角
在骨骼系统里,CT、X线较隐形的骨折,通过超声动态观察,多角度侧动探头,让“小骨折”无处可藏!



↑超声下多角度外踝骨折,CT证实腓骨下段骨折
检查过程轻松便捷
在进行肌骨超声检查时,患者通常需要暴露检查部位。医生会在检查部位涂抹一层耦合剂,这就像是为超声波开辟了一条 “畅通无阻” 的道路,减少反射和损失。

接着,医生会使用超声探头在检查部位进行扫描,仔细观察组织的结构和病变情况。在这个过程中,医生可能还会要求患者进行一些特定的动作,以便更好地观察组织的动态变化。整个检查时间一般较短,通常在十几分钟到半小时左右,让你无需长时间等待。

优势显著
无辐射更安心
对于孕妇、儿童以及需要多次检查的患者来说,肌骨超声无辐射的特点简直是一大福音,完全不用担心辐射对身体的危害。
实时动态观察超厉害
它可以在患者运动状态下进行动态观察,随时可左右侧对比,这对于一些运动性损伤的诊断具有至关重要的意义。想象一下,医生可以看到你在运动时肌肉、肌腱等组织的变化,从而更准确地判断病情。
可重复性强超方便
可以多次进行检查,方便医生随时观察病情的变化。如果你的病情需要长期跟踪观察,肌骨超声绝对是个不错的选择。
价格相对较低很亲民
与其他影像学检查方法相比,肌骨超声的价格较为便宜,能够减轻患者的经济负担。
局限性
当然,肌骨超声也不是万能的。它的视野相对较小,使用的频率高,探测深度没有X线,CT及MRI的深,且骨骼的超声吸收较多,所以骨骼内部的病变及大骨骼的整体病变不能在一个超声探测切面内完全显示出来,因此在这些疾病的诊断准确性确实没有 X 光、CT 和 MRI有优势。

如何选择
如果出现肌肉、肌腱、韧带、关节、神经等部位的疼痛、肿胀、活动受限等症状,或者发现了软组织肿物,都可以考虑进行肌骨超声检查。如果已经进行了其他影像学检查,但诊断结果不明确,肌骨超声也可以为你提供更多的诊断信息。
肌骨超声是一种非常有价值的检查方法,它为肌肉骨骼系统疾病的诊断和治疗提供了重要的依据,希望通过这篇科普,让更多的人了解肌骨超声,在需要的时候能够选择合适的检查方法,及时发现和治疗疾病,让我们的身体更加健康。
订阅后可查看全文(剩余80%)