器官功能保全下,治疗局部晚期肛管癌伴出血——惠州三院Halcyon“速锐刀”全影像引导精准放疗案例

惠州市第三人民医院
+订阅

近日,惠州市第三人民医院放疗科应用最新一代智慧化精准放疗系统——Halcyon“速锐刀”,成功治疗一例肛管肿瘤,伴便血的老年肛管癌患者。该患者肿瘤位于肛缘旁,且伴有肿瘤出血。采用全影像引导精准容积调强旋转放疗,对肿瘤病灶进行精准照射。治疗全程安全无创,每次治疗仅3分钟。在肛门功能得以完全保留的情况下,患者肿瘤病灶完全缩退,便血等症状完全消失。

病例特点:

肛门坠胀不适,发展至反复出血

患者女性,60岁,近几个月来,肛门出现坠胀不适,并有反复便血等症状。肠镜检查可见,直肠肛缘附近有一环周肿物,阻塞肛门口。活检病理为鳞状细胞癌。进一步行盆腔磁共振见直肠及肛缘附近软组织肿块(30.8 mm×27.6mm×37mm),盆腔可见转移淋巴结,诊断为肛管鳞癌(cT2N1M0 IIIA期)。患者入院时营养状态差,体重不足80斤,中度贫血。

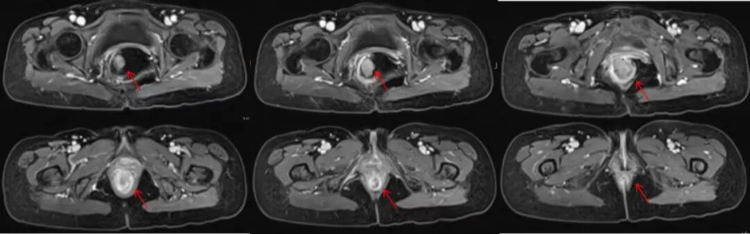
图注:盆腔MRI可见直肠腔内及肛缘附近软组织肿物,病灶明显强化;肿物根部位于肛缘旁,凸向直肠内,造成肠内积气。

综合分析,患者60岁,营养状态差,贫血,手术创伤将难以恢复。此外,肿物位置为肛缘附近,外科治疗后患者肛门切除,并需要造瘘,对患者未来生活质量将造成严重影响。结合肛管肿瘤诊疗指南,经多学科会诊,为患者制定新辅助放化疗治疗方案,疗中评估肿瘤治疗反应情况,再决定进一步治疗方案。

治疗方案制定

患者入院时,排便伴有严重的肛门出血,给予积极的抗肿瘤治疗。首先给予放疗定位,并开始进行化疗。随后5日内,开始进行放射治疗。采用全影像引导精准容积调强旋转放疗,对肛管肿瘤病灶,盆腔淋巴引流区及转移淋巴结进行精准照射。

速锐精准放疗系统盆腔放疗:

高速、安全、高效

放疗团队充分利用Halcyon“速锐刀”的先进性,采用Eclips GPU高性能放疗计划系统,双层多叶准直器系统,实现精准聚焦照射的技术优势,为患者制定个体化的颈部、胸部病灶精准放疗方案。每次治疗均进行IGRT影像引导,极大降低了位置误差和器官移动对治疗造成的影响,确保每次治疗的精准实施。

此外,Halcyon“速锐刀”机头转动速度为其他传统加速器的4倍,大幅提升了治疗的速度。单次治疗仅3分钟,保证了患者在治疗中的安全性,降低治疗中紧张及不适。

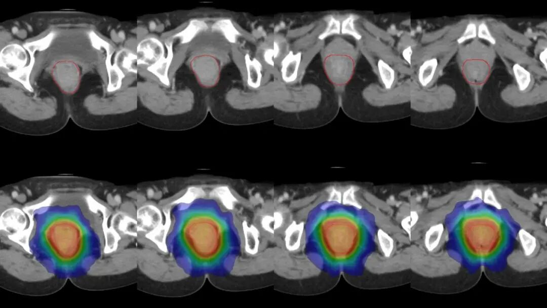
图注:上图红线为根据磁共振勾画的肿瘤靶区。下图为放射剂量分布,可见射线分布集中于肿瘤病灶,中心区高剂量照射,周边剂量快速跌落,形成锐利的集束聚焦照射,周围组织得到良好保护。

病情控制:

便血消失,肿物完全缩退,治疗顺利

治疗近2周左右,患者便血症状逐渐减轻,随后消失。治疗5周后复查,可见肿物大部分消退,仅剩肛缘旁残留少许强化病灶。评估疗效,患者放化疗效果良好,进一步给予根治性放疗。

疗后复查,患者肿物完全消退,便血等症状消失。治疗过程顺利,没有发生明显副反应。尽管患者肿物紧邻膀胱,但没有发生放射性膀胱炎等并发症。

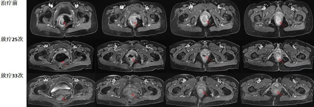
治疗前后对比

图注:放疗25次/5周复查可见,直肠内肿物显著缩退,直肠内仍有积气。治疗结束后复查可见,肿瘤病灶完全缩退,没有明显残留强化肿物,直肠内积气消失。

精准医疗,共筑健康未来

患者出现排便及肛门不适等症状时并未重视,直到严重便血才积极就诊,但此时肿瘤已经发展为局部晚期。在我院进行规范的放射治疗以及化疗后,肿瘤得到完全控制。疗后患者状态良好,便血消失,贫血恢复,没有发生严重不良反应,且充分保护了肛门排便的重要器官功能。

这一成功案例再次证明了Halcyon“速锐刀”在精准智慧化放疗领域的卓越表现,在安全、无创的情况下,可以良好控制局部肿瘤病灶,为肿瘤患者带来了希望与新生。

主诊教授

杨国姿

乳腺、腹盆腔及妇科肿瘤学组负责人

医学博士

硕士研究生导师

国家公派美国斯坦福大学访问学者

主要专业方向为乳腺、盆腔及妇科肿瘤综合诊疗,以及肿瘤相关分子机制研究。

毕业于吉林大学白求恩医学部临床医学及肿瘤学专业。毕业后留院,于吉林大学第一医院(国家卫健委直属直管,国家级区域医疗中心单位)肿瘤中心开始从事放射治疗工作。自2008年7月,先后于卫生部北京医院、中国医学科学院北京协和医院及中山大学肿瘤防治中心学习。2016年博士研究生毕业于吉林大学第一医院。2019—2021年作为国家公派访问学者赴美国斯坦福大学学习。2023年2月作为学组负责人被引进广州医科大学附属惠州医院放疗科。

参与设计开展了多项前瞻性临床研究,取得多项国际创新性研究成果。主持国家自然科学基金、中国抗癌协会研究基金、吉林省科技厅自然科学基金及优秀青年人才基金、吉林省教育厅“十三五”科学技术研究项目基金及广州医科大学科研强基项目等多项课题。研究成果曾于中国临床肿瘤大会(CSCO)、中华医学会肿瘤学年会、中华医学会放射肿瘤学年会(CSTRO)发言报告,获得优秀论文奖项。发表专业论文30余篇,其中,以第一作者及通讯作者发表SCI论文16篇.参编多部肿瘤学专著。担任多个SCI杂志审稿专家。

从事肿瘤放射治疗临床工作近16年,主要专业方向为胸部及盆腔恶性肿瘤的综合诊疗。特别是在妇科恶性肿瘤的综合诊疗及后装近距离放疗方面,曾先后于中国医学科学院北京协和医院及中山大学肿瘤防治中心放疗科接受严格的培训。分别于2011年及2016年在吉林大学第一医院率先开展后装三管及插植近距离治疗,弥补了医院该领域的空白,积累了丰富的后装近距离治疗操作以及综合诊疗经验。

精准放疗知识小科普

“放疗”对于普通大众来说,还是只闻其名不明其理的存在,而“辐射”更是让人闻之变色的名词,到底“放疗”是否安全?是否可靠?下面就为大家准备了放疗小科普,解决大家心中对我院“放疗”技术最为担忧的疑惑。

SRS(头部立体定向放射治疗)是一种针对颅脑病灶进行的三维精准放疗技术。它通过高能射线对颅内肿瘤进行集束聚焦照射,并保护周围正常组织。SRS疗程短,单次治疗剂量大,分次少,疗效显著。对无法手术的肿瘤病灶,局部控制率超过90%,不亚于手术。并且,相对手术治疗,经过放疗的病灶控制时间很长,病灶缩退呈持续性,短时间内不易复发。

瓦里安Halcyon 3.0直线加速器是2019年底进入中国的四维全影像引导精准智慧化放疗系统,其完全不同于传统放疗设备,是全新一代高精准智能放疗设备。其技术上的优势主要体现在以下几个方面:

1.高精度和稳定性:Halcyon 3.0直线加速器采用了先进的技术,如专利的真空电子束传输系统,能够提供高精度和稳定性的射线束,这对于SBRT技术中精确的剂量控制和靶区定位至关重要。

2.自动化和简化操作:Halcyon 3.0直线加速器的设计注重用户体验,拥有自动化和简化的操作流程。这减少了治疗准备时间,提高了治疗效率,同时也降低了人为错误的可能性。

3.图像引导放疗(IGRT)Halcyon 3.0直线加速器配备了先进的图像引导放疗技术,可以在治疗过程中实时获取患者的影像数据,确保治疗的精准性。这对于SBRT技术中精确的靶区定位和剂量分布至关重要。

4.质量保证和安全性:Halcyon 3.0直线加速器具有完善的质量保证系统,可以确保治疗的安全性和可靠性。同时,其设计考虑了患者和工作人员的安全,提供了良好的辐射防护。

5.高速治疗:Halcyon 3.0直线加速器能够提供高剂量率的射线输出,以及高速的机架运转及多叶光栅运动。大幅缩短单次治疗的时间,将其他传统加速器的单次治疗时间从10分钟左右,缩短至3分钟内。极大改善了患者的治疗感受,减轻了紧张及焦虑;更降低了治疗中,因患者不自主运动的发生对治疗精度造成的影响。

6.射线零漏射且更锐利:该设备独有的双层多叶光栅系统使得射线束半影更小,射线束更加锐利,放疗剂量分布更有优势。并且,相对其他直加放疗设备的单层多叶光栅,Halcyon双层多叶光栅是目前漏射率最低的直加放疗设备,趋于零漏射,大大降低了放疗过程中,因叶片漏射对患者造成的辐射损害。

综上,瓦里安Halcyon“速锐刀”智慧放疗系统的主要技术特点:快速、精准、锐利。其在SBRT放疗技术上的优势主要体现在其高精度、智慧化操作、高速高效、精准图像引导以及放疗质量保证和治疗安全保证,这些优势有助于提高治疗效果和改善患者治疗感受。

免责声明:本文由南方+客户端“南方号”入驻单位发布,不代表“南方+”的观点和立场。
+1
您已点过

订阅后可查看全文(剩余80%)

更多精彩内容请进入频道查看

还没看够?打开南方+看看吧
立即打开