
心脏在右、肝脏在左……与常人相反,67岁的赵阿姨全内脏反位,即俗称的“镜面人”。
近日,中山大学孙逸仙纪念医院副院长、胆胰外科和器官捐献与移植管理中心学科带头人刘超教授带领团队,克服全内脏反位困难,为身患肝功能衰竭、肝癌等疾病的赵阿姨成功开展了全内脏反位肝移植术,帮助她获得新生。
据悉,20多年以来,赵阿姨饱受肝病的折磨,从肝硬化失代偿期到肝性脑病,再到肝癌,她的病情一步步恶化,直至半个多月前,病情已十分危急。
除肝功能衰竭、肝癌外,她还出现肺动脉高压、肝肾综合征等合并症,且已无尿一周余,需通过血浆置换、血液透析维持生命。
“面对如此复杂的病情,肝移植是她回归正常生活的唯一希望。”刘超说。
但令医院肝移植团队谨慎的是,赵阿姨是一位全内脏反位患者。全内脏反位带来的解剖变异对脉管重建的影响如同“左脚穿右鞋”,这给手术团队带来了不小的挑战。

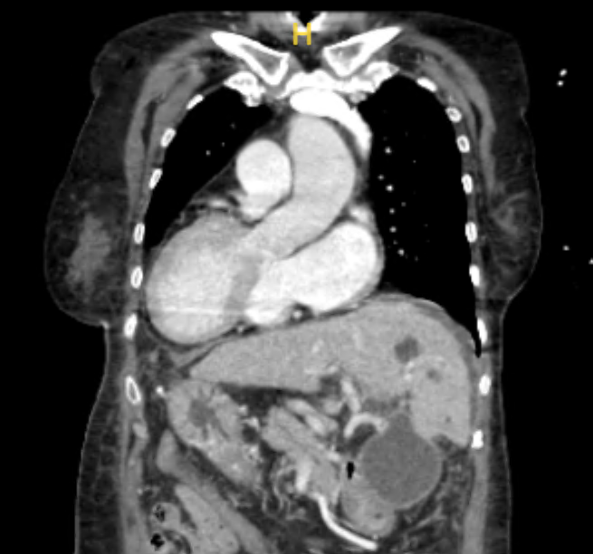
▲术前影像学检查显示,患者心脏位于右侧,肝脏位于左侧
国内外关于“镜面人”肝移植的案例报道屈指可数,可供借鉴的经验极其有限。
面对重重困难,刘超教授及其团队决定迎难而上。赵阿姨入院后,手术团队立即组织多学科会诊,对患者的病情进行了全面评估,并制定了详细的手术方案。
在等来了合适的供肝后,一场与常规“相反”的移植手术被提上日程。手术中,团队根据术前的精准设计,将供肝顺时针翻转了45°,这带来了脉管“乾坤大挪移”式的变化,但凭借丰富的复杂肝胆外科手术和肝移植手术经验,团队成功完成了所有脉管的精准缝合,新肝开始在赵女士体内正常运转。
术后,赵女士的肝功能很快恢复正常。经过精心治疗和护理,赵阿姨的心、肾功能也逐步恢复,并于近日顺利康复出院。

“这次手术的成功实施是患者的信任和手术团队过硬实力的共同体现。”刘超表示,自2019年1月重获肝脏移植资质以来,医院肝移植团队已经完成了400余台肝移植手术,包括劈离式肝移植、亲体肝移植、肝肾联合移植等高难度手术,肝脏移植质量位于全国前列。
记者 | 薛平世
通讯员 | 黄睿、吴文睿、刘文琴
编辑 | 任君飞 责编 | 张秀丽
审核发布 | 李楠楠
广东卫生在线全媒体团队出品
订阅后可查看全文(剩余80%)