近日,我院生殖医学中心传来喜讯,国际上首次通过改进后的基于链读测序的长片段二代测序技术,成功实现了端粒融合型环状染色体的单体型构建,应用第三代试管婴儿技术(PGT)成功阻断环状染色体向子代传递的健康宝宝在我院诞生,健康茁壮,已满百天。
看着宝宝的笑容,小雪(化名)夫妻俩心里满是甜蜜,满怀感激。这段幸福的背后是一段充满坎坷的求子之路,也是我院生殖医学中心PGT团队直面挑战取得重大突破的科研求真之路。
夫妻一方染色体异常,一方基因变异,想生健康宝宝有多难?
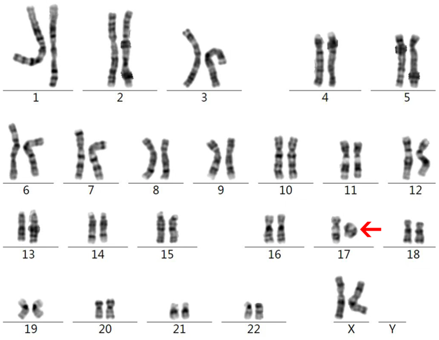
小雪28岁,丈夫29岁,两人步入婚姻殿堂3年,从未避孕却迟迟不孕。在外院经历了三次人工授精均失败,进一步检测发现小雪的染色体检查结果为“46,XX,r(17)(p13q25)[29]/46,XX[71]”,即嵌合型的17号环状染色体,嵌合比例为29%,也就是说小雪体内71%的细胞染色体是正常的,29%的细胞17号染色体形成了一个环状。环状染色体是人类很罕见的一类染色体结构畸变,携带者一般生育率较低,会承受不孕不育、高发的反复流产或生育畸形儿等风险。这可能就是小雪多年未孕的原因。

该类染色体核型结果(17号染色其中一条体呈现环形)
经过多方打听,2021年12月他们来到我院生殖医学中心寻求帮助。初诊时任姿副主任医师发现小雪身体和腿部均有牛奶咖啡斑,并表现出轻微的语言发育障碍,与17号环状染色体综合征的表型吻合,但小雪的父母染色体均正常,因此确定小雪为新发的染色体结构变异。在面诊男方时,发现男方存在特殊面容并伴有轻度的智力障碍,为其进行了基因全外显子组测序,结果发现男方KMT2A基因存在一个新发的致病变异。每个个体均有两套遗传物质,一套来自父亲,一套来自母亲,如果染色体或基因变异遗传自父母,通过信息比对就可以找出这两套遗传物质中哪一套有问题,这就是我们常说的单体型构建。当夫妻双方再生育时,通过与胚胎信息比对,就知道胚胎是否遗传了有问题的遗传物质,从而判断胚胎的疾病状态。然而,小雪夫妇均为新发变异,无法通过双方父母的信息构建单体型,这样就无法区分他们自身的两套遗传物质中哪一套发生了问题,从而给胚胎的诊断带来了挑战。
小雪夫妻一方染色体异常,一方基因变异,在这种情况下,想要生育一个完全健康的孩子非常困难(染色体和基因均正常的理论概率极低)。并且,小雪环状染色体的结构是由于染色体端粒区的融合导致,端粒区为DNA高度重复序列,无法通过传统的三代试管技术判断胚胎是否携带环状染色体,目前也尚无文献报道过该类环状染色体单体型构建成功的案例。然而,夫妻双方非常渴望拥有一个健康的孩子,同时也希望能够阻断染色体病和单基因病在家族中的传递。他们选择与我院生殖医学中心PGT团队一同踏上探索之路。
200倍!环状染色体单体型构建取得突破
2022年2月,在生殖医学中心学科带头人梁晓燕教授、中心主任方丛主任医师的带领下,任姿副主任医师、徐丽南副主任医师、李小兰主治医师及PGT检测室张志强主管技师、何姝婧主管技师等进行了深入讨论。团队进行了多种常用检测方法的尝试,包括荧光原位杂交技术(FISH),染色体微阵列技术(CMA),基因组光学图谱技术(OGM)、三代测序技术(Pacbio和Nanopore),结果都不尽人意。
最后,团队开发了针对环状染色体检测的基于链读测序的长片段二代测序方法。据悉,常规二代测序长度约为单端0.15kb(人类染色体头尾2个端粒的平均长度18-30kb),因此,常规二代测序无法跨越2个端粒融合区域进行检测,经过技术改良后,此例测序长度平均值大于30kb,且碱基准确性比较高,可检测到大量跨越端粒融合区域的长片段DNA分子,从而确认了环状染色体的结构;再通过标记、筛选分类,成功构建了17号环状染色体携带单体型、正常染色体的单体型,同时还成功构建了男方新发致病突变基因的单体型。

测序手段如同“拼图”,测序读长越长,拼接错误的风险低,诊断的准确性和可信度更高
随后,团队对胚胎进行了一体化PGT检测(PGT-plus),包括胚胎植入前单基因遗传病检测(PGT-M)、胚胎植入前染色体结构变异检测(PGT-SR),成功判断了胚胎环状染色体及致病基因变异的携带情况。本次共送检11枚胚胎中仅1枚胚胎染色体和基因均正常,异常概率高达90.9%(10/11)。
全球首例!为更多家庭带来希望和福音
去年3月,唯一一枚正常的胚胎被成功植入小雪的子宫内,接下来便是等待验孕的日子,虽然只有十几天,但对小雪来说却像是过了几个月,漫长的等待终于有了回音,验孕结果显示成功妊娠,小雪夫妇高兴万分,双方长辈更是流下了喜悦的泪水。
四个月后,我院产科主任高羽主任医师团队为小雪进行羊水产前诊断,结果显示胎儿染色体核型为“46,XN”,不携带环状染色体,同时基因检测显示不携带KMT2A基因突变。2023年12月7日,是小雪夫妇及六院生殖与产科团队非常开心的一天,国际首例“染色体脱环”宝宝顺利诞生,且各项相关评估及检查均正常,宝宝的出世给小雪一家带来了无限的欢乐。
今天上午,我院生殖医学中心梁晓燕教授团队就全球首例端粒融合型环状染色体患者采用三代试管技术成功诞生“染色体脱环”宝宝召开新闻发布会,接受来自中央、省市主流媒体采访。


我院生殖医学中心PGT团队基于这类环状染色体构建单体型的技术方法已申请技术发明专利,希望这一突破性的研究成果能为更多饱受不孕和遗传疾病风险之苦的家庭生育健康后代带来希望,同时也为医学领域开辟新的道路。此技术还有望拓展应用至其他有染色体异常和单基因病的夫妇,为更多家庭带来希望和福音。
任姿副主任医师提醒:如果夫妻正常性生活未避孕超1年仍未孕,或有不良孕产史,或者夫妻双方或家系成员患有某些遗传病或先天畸形,建议及时前往正规医疗机构的生殖中心进行遗传咨询和检查。染色体异常和遗传病可能会导致不孕、反复流产、胎儿畸形、出生缺陷等问题,及早发现并评估能否采用三代试管婴儿技术干预,这对于预防相关风险至关重要。
专家介绍

梁晓燕 教授
中山大学教授、博士生导师、主任医师,中山大学附属第六医院生殖中心创始人、学科带头人,中山大学医学院妇产科学系教研室主任,科技部国家重点研发计划首席科学家,广东省医学领军人才。梁晓燕教授主要从事辅助生育技术的应用及生殖内分泌研究,在Nature communications等知名杂志发表论文150余篇,主编人民卫生出版社《辅助生殖临床技术-实践与提高》,参与《中华妇产科学》第一、二版的编写;负责国家、省自然科学基金及卫生厅基金共30余项,作为首席科学家获得国家科技部重点研发计划“建立有效的人卵母细胞体外成熟优化体系及其临床应用的安全性研究”;参与国家PCOS、高泌乳素血症及闭经的诊疗共识的制定。2002年开展不成熟卵体外培育技术并诞生广东省第一例IVM试管婴儿;2012年开展全国首例单卵双胎卵巢组织原位移植术;2017年成功为卵母细胞质量缺陷患者实施“卵母细胞内注射自体骨髓细胞线粒体”技术,为世界首例;2021年建立“广东省生育力保存工程技术研究中心”,开展了全国首例青春期前卵巢组织的冻融及自体腹腔内移植技术并成功恢复青春期发育。
出诊时间:
北院区: 周一,周二上午,周三下午,周四,周五;
院本部: 周三上午。

生殖医学中心 方丛 主任医师
博士,博士生导师,生殖中心主任兼体外受精-胚胎移植技术实验室负责人。
在妇产科临床及科研一线工作20余年,现任广东省生殖医学会实验学组副组长,广东省健康管理学会生育力保护专业委员会主任委员,是生殖医学领域的国内知名专家。于2010年创建中山大学附属第六医院生殖医学中心实验室,培养、管理出一支经验丰富、技术精湛的实验室专业团队。
临床特长:
①不孕症的诊断;
②促排卵方案的制定、药物选择;
③体外受精、胚胎培养方案的制定、优化和操作;
④女性生育力保存(卵子、卵巢组织冷冻保存);
⑤疑难病例及反复失败病例的个体化治疗。
科研及创新:
研究范围包括胚胎植入前遗传学诊断、胚胎质量评估、子宫内膜容受性、卵子冷冻、卵巢组织冻存等,在国际主流学术刊物发表科学论文三十余篇。
在国内首先开展了染色体易位患者的胚胎植入前遗传学诊断研究,并于国内首次报道成功妊娠。近年来开展了人类体外培养胚胎质量评估方法研究、子宫内膜容受性诱导机制研究、女性生育力保存技术研究,取得突破性进展。
出诊时间:
北院区:周一全天,周二上午(仅VIP),周三上午,周四上午,周五全天。

生殖医学中心 任姿 副主任医师
医学博士,副主任医师,硕士生导师,生殖中心三代试管临床负责人。
学术任职:广东省医学会医学遗传学分会青年委员、广东省医学会生殖医学分会胚胎植入前遗传学检测学组成员、广东省医学会计划生育学分会优生与遗传学组成员。
擅长领域: 从事妇产科及辅助生殖临床诊疗工作20年,专注于三代试管婴儿诊治及优生遗传咨询,擅长不孕症治疗策略选择,反复助孕失败个体化治疗,子宫内膜异位症孕前评估及助孕治疗,月经失调诊治。
出诊时间:周一至周五(北院区)
感谢张志强主管技师对本文的支持
初审:张婷婷
审核:乐虞莹、简文杨
终审:李文敏
审定发布:李汉荣
稿件来源:中山六院
订阅后可查看全文(剩余80%)