有句话说的好,牙疼不算病,疼起来要人命,那些要你命的牙齿,能不能拔?要知道,拔错了可就回不来了,即使回来了也不是原来的它了。为免伤及无辜,特此盘点8大必拔之牙与君共享!
这 8 种牙齿必须拔
1.牙周炎导致的松动牙
这类牙齿就算你不拔,时间长了也会掉。但因为长期的慢性炎症使牙齿周围存在大量炎性肉芽组织。这些炎性肉芽组织不会跟着牙齿一起脱落,不利于伤口的愈合。此外,牙齿周围慢性炎症使牙齿周围的牙槽骨逐渐吸收掉,不仅影响邻近的牙齿,还造成牙槽骨的高度降低、厚度变薄,到了一定程度,再种牙就很难了。

2.严重龋损导致无法保存的残根残冠
龋齿通常需要补或做嵌体修复,严重的龋齿还需要做根管治疗并做全冠来修复。但有些龋损特别严重的牙齿烂得太厉害,变成了没法修复的残根残冠,则应尽早拔除后镶牙或种牙,以利咀嚼功能的恢复。残根残冠的边缘往往比较尖锐,是口腔癌如舌癌、牙龈癌、颊癌的重要病因。

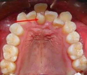
3.影响功能和美观的错位牙
很容易造成牙缝食物嵌塞,邻牙难以清洁干净而龋损,因此这样的错位牙应尽早拔除。

4.额外生出的多生牙
常常引起正常牙的萌出障碍和错位,是牙列错位畸形的重要原因,常常需要尽早拔除。

5.滞留的乳牙
有些小孩到了换牙期,恒牙已经萌出,乳牙仍然不肯脱落。这些滞留的乳牙占据了正常牙列的位置,使恒牙错位萌出,引起牙列错乱,因此滞留的乳牙必须拔除。

6.引起局部或全身疾病的病灶牙
有些牙齿是引起颌骨骨髓炎或上颌窦炎的病灶牙,拔除后有利于这些疾病的愈合。

7.牙列拥挤需要矫牙而进行的减数牙
影响美观的牙列拥挤在矫治前通常要“减数拔牙”,否则牙齿没排齐的空间。而且拥挤的牙列不易清洁,是牙齿龋坏的重要原因。

8.阻生牙,特别是智慧牙
阻生牙是引起邻牙牙根吸收、邻牙龋损、邻牙牙周炎、牙列拥挤和冠周炎的重要原因,还有一些阻生牙是颞下颌关节紊乱病的病因,因此阻生牙大部分情况下有必要拔除。
禅城区人民医院口腔医院提醒您:
预防大于治疗,不要等到问题大了才处理
关注口腔健康,欢迎咨询禅城区人民医院·口腔医院:
1、禅城区人民医院·口腔医院向阳院区
(地址:禅城区公正路95号)咨询电话:66692666转(洁牙6837、正畸6808、口综6843、修复6631)
2、禅城区人民医院·口腔医院港口院区
(地址:禅城区港口路11号首座)咨询电话:66634620
3、禅城区人民医院朝阳院区口腔科
(地址:禅城区筷子路10号)咨询电话:82298777,66692666转8164、8172
4、禅城区人民医院澜石院区口腔科
(地址:禅城区岭南大道沿街商业长廊石头村路段四)咨询电话:66692666转8023、8024
5、禅城区人民医院环市院区口腔科
(地址:禅城区新风路38号)咨询电话:66692666转6186、6187
6、禅城区人民医院·建设分院口腔科
(地址:禅城区建设一街12号)咨询电话:66692666转6610、6613、6614、6617
7、石湾镇街道社区卫生服务中心二楼口腔科
(地址:佛山大道中180号新澜石小学隔壁,咨询预约电话:0757-66698632-8347)
供稿:牙防办宣教组
编辑:区颖涛
订阅后可查看全文(剩余80%)