近日,广东省第二人民医院(以下简称“省二医”)关节骨科负责人、副主任医师许长鹏团队,成功实施了一项前沿的手术技术——智能机器人辅助膝关节单髁置换术,帮助一位老龄患者摆脱了膝关节疼痛的困扰,恢复了正常的行走功能。
▍膝关节疼痛20余年,机器人辅助下完成单髁置换
70岁的龙奶奶在20年前就出现不明原因的双膝关节疼痛,活动时疼痛加重,走路受限,生活品质大大降低。经过多次保守治疗并未见明显好转,疼痛症状一直反复,严重时甚至无法上楼梯。忍无可忍之际,龙奶奶终于下定决心,来到省二医关节骨科进行手术治疗。


△龙奶奶的左侧膝盖磨损严重,看起来就像是月球表面坑坑洼洼的陨石坑
许长鹏副主任医师仔细查体和阅片,发现龙奶奶的左膝关节内侧间隙压痛,疼痛主要集中在内侧。综合考虑下,许长鹏副主任医师决定采用智能机器人辅助下膝关节单髁置换术(UKA)治疗。

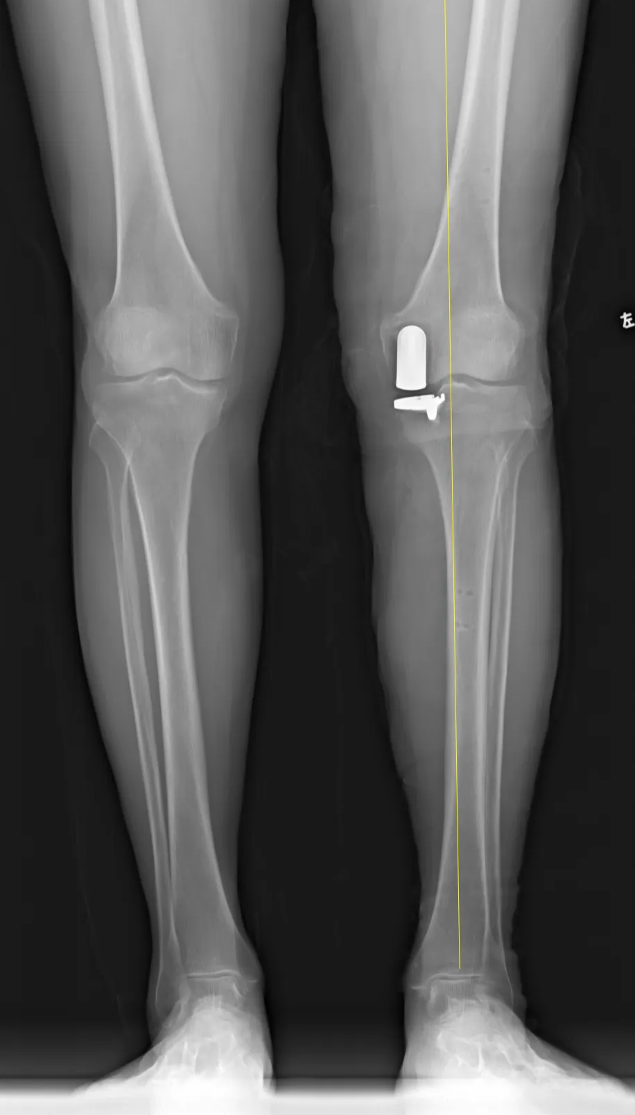
△机器人辅助下膝关节单髁置换术(UKA)治疗

▍精确至毫米级别,全新科技助力手术完成
手术通过完成CT数据扫描生成3D骨骼模型。手术中,许长鹏副主任医师团队利用AI智能机器人进行辅助操作,精准安放假体,平衡关节和合适张力。术后第一天,龙奶奶便能下地行走。
在机器人辅助下,医生能将高难度的手术做到十分精细。在手术开始的时候,机器人需要通过探针寻找标记点,反复地校准直到所有点位通过并显示绿色。多个维度上的校准使得手术十分精准。

对于广大病友们最关心的手术安全问题,许长鹏副主任医师解释道:“单髁关节置换术的手术视野有限,传统手术中,医生要靠肉眼判断容易出现误差。而机械臂校准好安全位置之后,一旦截骨越过了‘三八界’,立马就停止了。”有了这样的保护机制,术中基本不会出现人为损伤血管神经。
目前,广东省第二人民医院关节骨科许长鹏副主任医师已经完成超过20例机器人单髁手术,能够在40分钟内完成手术,减少了患者术中的出血和术后发生并发症的概率。
“机器人不能取代医生,它只是医生手中的宝剑,代替医生的手和眼,避免人为的犯错,使得误差控制在1mm和1°以内。”利用好这把“宝剑”,经验丰富的医生能够让患者术后短期内的疼痛更轻、恢复更快、满意度更高(超过90%),远期假体生存率更高(可达97%)。
▍手术康复两不误,全程无痛体验好

△术后假体位置极佳
目前,龙奶奶术后恢复良好,走路流畅,膝关节无外翻畸形,重拾了生活的希望。
这也离不开省二医康复医学科团队的大力支持。术前,康复团队对龙奶奶进行康复锻炼的方案和评估,提前让龙奶奶进行学习。医疗团队提供“超前镇痛”,确保龙奶奶术后几乎没有痛感。术中,医生对龙奶奶进行屈伸功能的评估,采用“鸡尾酒”镇痛进一步保驾护航。术后,医生早中晚带着龙奶奶进行功能锻炼,使得龙奶奶“全程无痛”地实现功能锻炼。


△术后完成高屈曲
在许长鹏副主任医师团队的耐心指导和鼓励下,龙奶奶已经重新获得了行走的能力,不再受骨性关节炎的困扰,对治疗团队表示衷心感谢。
▍对于严重的骨性关节炎,手术是唯一有效的治疗方法
骨性关节炎是一种常见的关节疾病,多发于中老年人。由于长期磨损和退化,患者的关节软骨会出现损坏和脱落,导致关节周围增生骨质,引起疼痛和活动受限。对于严重的骨性关节炎患者,手术是唯一有效的治疗方法。

膝关节单髁置换术(UKA)是相对于全膝关节置换而言的一种微创手术。膝关节单髁置换术只是对膝关节内侧或者外侧膝关节表面进行修整置换,用人工关节替代关节损坏的表面软骨和软骨下骨,恢复膝关节原始的关节功能,缓解患者的疼痛。该技术不损伤膝关节的韧带,以最小的切口,最大限度地保留患者的本体感觉和关节功能。
许长鹏副主任医师是广东省第二人民医院关节骨科的资深专家,拥有丰富的临床经验和精湛的手术技巧。他根据龙奶奶的病情和身体状况,为其制定了个性化的治疗方案,并采用了先进的机器人辅助技术进行单髁置换手术。
龙奶奶的手术案例显示了机器人辅助单髁置换手术在骨性关节炎治疗中的优势。许长鹏副主任医师提醒,广大患者如有类似症状应及时就医,通过专业医生的检查和治疗,选择适合自己的手术方案。同时,他强调术后康复的重要性,鼓励患者积极配合治疗和训练,早日恢复健康。
省二医关节骨科一直以来致力于为患者提供优质的医疗服务,拥有丰富的临床经验和先进的医疗设备,能够为各类骨性关节炎患者提供个性化的治疗方案。通过引进机器人辅助技术进行单髁置换手术等新型手术方式,为患者提供了更安全、更有效的治疗选择。

专家介绍
许长鹏
副主任医师
广东省第二人民医院关节骨科负责人、副主任医师,医学博士,硕士研究生导师,暨南大学博士后联合培养合作导师。中国医师协会骨科医师分会青年委员、广东省医学会运动医学分会委员。擅长髋、膝骨关节炎的保髋、保膝微创治疗。专注于髋膝肩等关节置换,在人工智能AI虚拟手术规划、3D打印辅助以及手术机器人辅助关节置换精准治疗方面积累了丰富的经验。肩、髋、膝、踝关节运动损伤的关节镜微创治疗及快速康复有较深造诣。赴中国人民解放军总医院(301医院)进修学习人工智能辅助微创关节置换及关节镜技术。熟练掌握DAA微创全髋置换和HTO、UKA等保膝治疗手术,实现关节置换术后不限制体位的快速正常活动。多次主办人工智能辅助微创髋膝关节置换培训学习班。
出诊时间:周二上午
关节骨科:一号楼4楼(门诊)、三号楼12楼(住院部)

专家介绍
杨洋
广东省第二人民医院关节骨科副主任医师。主持厅级科研基金一项,发表论文10余篇。临床经验丰富,擅长股骨头坏死的保髋治疗以及膝关节病的保膝治疗,骨关节肿瘤的手术治疗及肢体畸形的矫形治疗,以及关节疾病及运动损伤的关节镜手术等微创治疗。
出诊时间:周二下午
关节骨科:一号楼4楼(门诊)、三号楼12楼(住院部)

专家介绍
欧栓机
主治医师
广东省第二人民医院关节骨科主治医师,毕业于南方医科大学,医学硕士,主治医师。广东省医学会关节外科学分会青年委员。主要方向为骨关节疾病、运动损伤的诊治,擅长髋、膝、肩、肘、踝关节疾病的微创治疗以及糖尿病足的保肢治疗,在髋膝关节置换、膝关节单髁置换、半月板损伤、前后交叉韧带损伤、肩袖损伤、肩关节SLAP损伤、肩关节Bankart损伤、肩峰撞击综合征、冻结肩、距腓前韧带损伤、距骨骨软骨损伤、踝关节撞击综合征、髋关节盂唇损伤及髋关节撞击综合征(FAI)的微创治疗积累了较多的临床经验。近年来主持厅局级、院级课题2项,发表SCI、核心期刊论文10余篇,获专利1项。
出诊时间:周一下午
关节骨科:一号楼4楼(门诊)、三号楼12楼(住院部)

专家介绍
夏长粮
医师、硕士。擅长骨关节损伤、运动损伤、糖尿病足、退行性疾病、劳损及慢性疼痛的诊治。从事成骨分化研究,至今发表SCI文章4篇。
出诊时间:周三下午
关节骨科:一号楼4楼(门诊)、三号楼12楼(住院部)
医院地址导航
琶洲院区地址:广州市海珠区新港中路466号大院
地铁线路:地铁8号线赤岗站C1出口
公交线路:
赤岗总站:131A路、131B路、93路
赤岗站:130路、14路、184路、189路、226路、229路、239路、250路、252路、262路、264A路、270路、304路、37路、45路、583路、93路、B7快线、B7路、大学城3线、高峰快线6路
民航院区地址:广州市白云区机场路290号
地铁线路:白云公园地铁站D出口
七所门诊部:海珠区新市头路183号七所门诊部
地铁线路:地铁3号线/8号线客村站B出口
供稿 关节骨科
内容编辑 融媒体中心何昊书
责任编辑 融媒体中心黄怡辛
校对 院办文秘科周泽銮
审核专家 关节骨科负责人、副主任医师许长鹏
审核/发布 融媒体中心周颖怡
部分图片来源网络,如有侵权,请联系删除
订阅后可查看全文(剩余80%)