脊柱疾病治疗中,手术是“最后选择”。随着治疗理念、手术技术和医疗器械的发展,脊柱微创技术成为医生和患者的共同追求。目前,脊柱微创技术主要有小切口技术、显微镜通道技术和脊柱内镜技术三类。而全脊柱内镜技术与传统的脊柱外科开放手术比较,手术创伤小,术后恢复快,临床疗效好。

汕头市第二人民医院骨科在赵资坚主任的带领下积极开展脊柱内镜技术,目前大部分的腰椎疾病手术都可以通过微创技术完成,其中“双镜技术”算是里面的佼佼者,也是目前脊柱外科推出的对整个腰椎疾病的一个整体的解决方案。“双镜技术”里面的“双镜”,一个指的是“椎间孔镜技术”,另一个指的是“单侧双通道(UBE)脊柱内镜技术”。
一、椎间孔镜技术
椎间孔镜技术(单通道脊柱内镜技术)经过二十余年的发展,目前对于腰椎间盘突出及退变性腰椎管狭窄的治疗均取得了良好的临床疗效。单通道脊柱内镜技术的实施需使用在内窥镜中嵌入了操作通道与灌洗通道的特殊脊柱内镜系统,并配合一系列专属操作器械。单通道脊柱内镜技术只需一个7mm的小手术切口即可完成。具有创伤小、疗效确切、安全可靠,手术时间短、并发症少、较经济、恢复快等优点,与传统腰椎开放性手术相比具有显著优势,是脊柱外科目前最先进的微创靶点治疗技术。
在治疗腰椎退行性疾病中,单通道脊柱内镜技术有经椎间孔和经椎板间两种手术入路。经椎间孔入路更有利于处理椎间孔狭窄及极外侧型腰椎间盘突出症,而经椎板间入路更有利于处理由于椎管背侧结构病变导致的椎管狭窄,并可完成单侧入路双侧减压。对于单纯的旁中央型椎间盘突出、侧隐窝狭窄术者可根据个人习惯和熟练程度在两种入路中进行选择。

骨外科开展病例:经椎间孔入路

骨外科开展病例:经椎板间入路
二、UBE手术技术
UBE减压技术是一种不受工作通道或刚性工作管道限制的经皮内镜技术。它通过棘突旁的两个小的手术切口完成,一个切口用于内窥镜和生理盐水灌注,另一个用于手术器械通过和生理盐水流出。通过连续的生理盐水冲洗和高清内窥镜,可在清晰和放大的内镜视野下进行精准的神经减压。UBE减压技术可用于椎板间入路,亦可用于椎间孔入路,可根据病变位置的不同进行选择,目前在椎板间入路下应用UBE减压技术最为普遍。

近日,我院骨外科先后接诊了两位腰腿痛患者,在赵资坚科主任带领下,应用在单侧双通道内镜下行腰椎间盘摘除、减压融合微创手术,助力患者摆脱“躺平”的痛苦,挺直“腰杆”恢复正常生活。
病例一:冯女士(化名)是一名年轻的患者,出现腰部持续性疼痛1年余,近期疼痛症状愈发加重,并伴左下肢放射痛,严重影响工作和生活。期间反复保守治疗,但效果不佳,只能痛苦的“躺平”,入院后经检查诊断为腰椎间盘突出,继发椎管稍狭窄。骨外科赵资坚主任医师带领医护团队对冯女士的病情进行全面评估,详细分析讨论微创手术治疗的可行性。经冯女士及家属同意后,决定为其实施全麻下UBE髓核摘除术。手术两个切口仅约1.5cm,手术医生可在清晰且放大的内镜视野中进行精准减压、神经根松解,摘除突出的髓核组织。术后第2天患者佩戴腰围下床活动,腰腿痛完全消失。

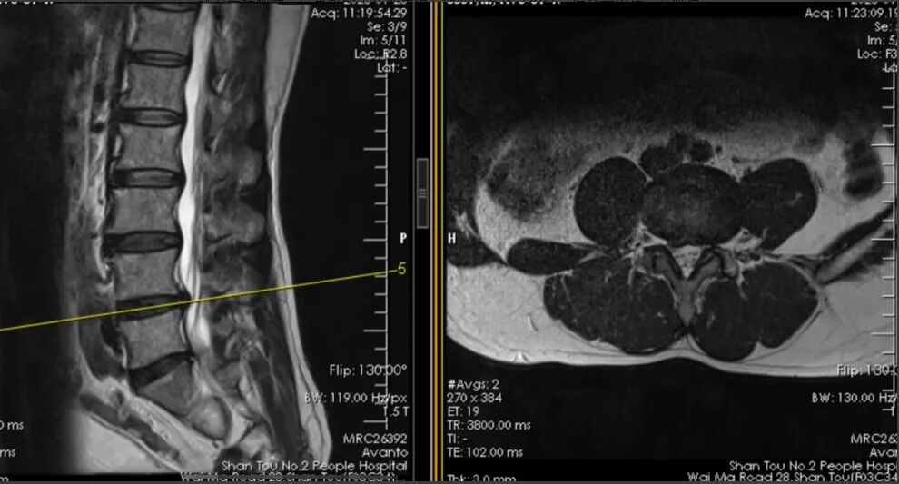
术前MR

术中

术后下地活动
病例二:董先生(化名)是一名中年的患者,因腰椎间盘突出、椎管狭窄导致多年腰腿痛,严重影响工作和生活。期间反复保守治疗,但效果不佳,入院后经我院骨科团队评估后,决定为其实施全麻下UBE髓核摘除、减压融合内固定术。术后第2天患者佩戴腰围下床活动,腰腿痛完全消失,手术效果显著。

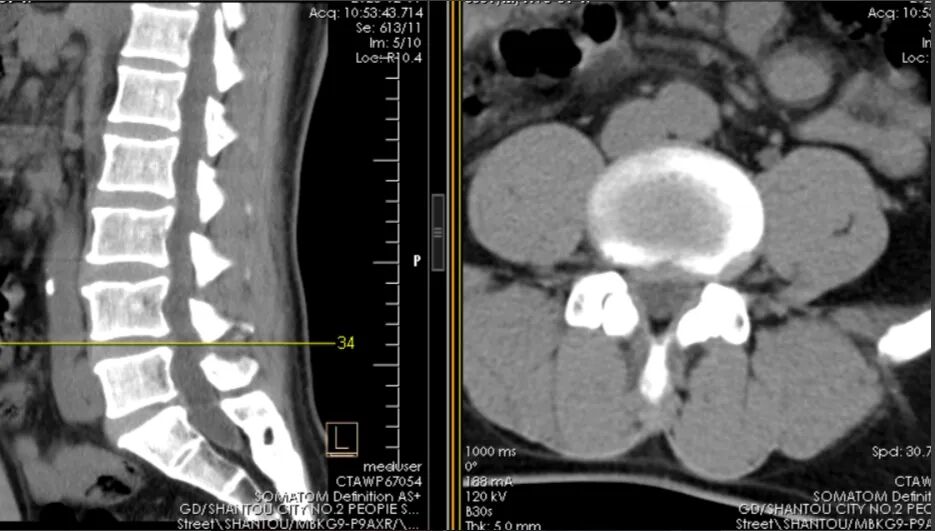
术前MR

术前CT

术中

术后x光

术后CT
骨外科赵资坚主任介绍:UBE与单通道脊柱内镜技术各有其特点,两种技术在治疗腰椎退行疾病中均有经椎间孔和椎板间两种入路方式。随着广大脊柱外科医生对其的不断探索与发展,两种技术治疗腰椎退行性疾病的适应范围越来越广,几乎涵盖了除重度腰椎滑脱和严重退变畸形的其他各种腰椎退行性疾病。

现代脊柱微创技术讲究“微创”和“精准”,单通道内镜减压技术与UBE减压技术无疑是符合的!这两种技术都是我们目前开展脊柱微创手术的主要核心技术,现在提出的概念就是“双镜技术,镜无止境”。双镜技术的提出让大部分的腰椎手术基本上都能够实现微创,是我们脊柱外科进展的一个巨大进步。双镜技术可获得与开放手术相同的疗效,但是具有软组织剥离少、创伤小、出血少、自身结构保护好、感染率低、恢复更快、患者术后感受好等优势,切实为广大患者带来了福音。
订阅后可查看全文(剩余80%)