前言

卵巢癌是常见的妇科恶性肿瘤之一,早期临床表现并不明显。患者就诊时往往已处中晚期,因而错失了根治的时机,甚至错过手术切除的机会,只能接受姑息保守治疗。早发现是早治疗的前提,目前我国部分欠发达或边远地区的妇科肿瘤筛查工作尚未普遍开展,该部分地区卵巢癌的早期治疗率不甚人意。因此,对老年女性等高危人群开展卵巢癌筛查在提高卵巢癌患者的生存率及生活质量中有不可或缺的重要意义。
近日,广州市花都区人民医院为一名无任何妇科症状的糖尿病患者筛查出卵巢癌,并联合中山二院专家给患者成功“拆弹”——顺利开展卵巢癌肿瘤细胞减灭术!
01
病例介绍
65岁的陈女士,因反复口干、多尿多饮、伴疲劳乏力,偶有胸闷,监测空腹指尖血糖超过11mmol/L,来我院内分泌科住院治疗,入院后完善相关检查,其中在子宫双附件彩超筛查中发现子宫上方见一类圆形低回声团,大小约37x32x37mm,边界不清,内部回声不均匀,这意味着不排除肿瘤可能。在积极控制血糖的同时,进一步完善了盆腔MR增强等针对性检查,结果提示:双侧附件区、
子宫直肠陷凹
及子宫周围多发结节状、团块状异常信号影,考虑附件区恶性肿瘤, 伴子宫直肠陷凹及子宫多发转移。内分泌科主任颜文盛考虑到该患者病情复杂,立即申请妇科会诊。经过妇科团队会诊,近期可能需要专科手术干预治疗,他与家属充分沟通后,家属果断选择转入广州市花都区人民医院妇科。

子宫双附件彩超


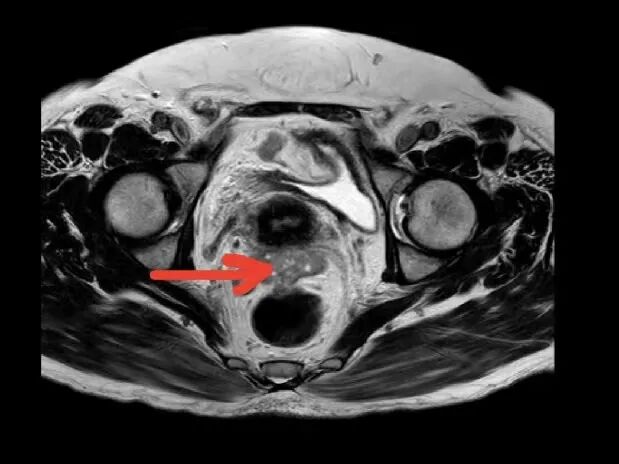
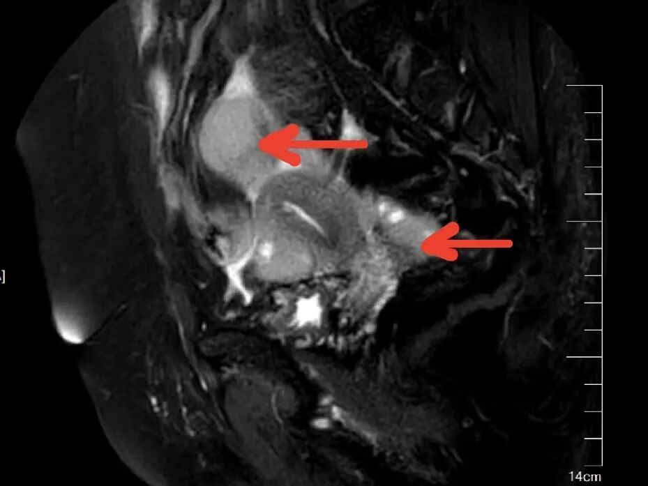
盆腔MR(红色箭头为病灶)


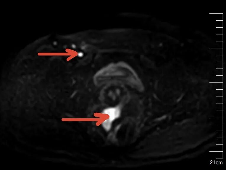
盆腔MR(红色箭头为转移病灶)
02
多学科联动,制定个性化手术方案
转入妇科后,徐文灵主任医疗团队迅速组织多学科会诊,为其制定个性化手术方案,讨论会上医学影像科、胃肠外科、重症医学科、药学部、乳腺胸外科、心内科、手术麻醉科等科室均围绕如何降低手术并发症风险、
围手术期
准备工作、如何为手术保驾护航展开细致讨论。
多学科会诊 制定手术方案
经过讨论后徐文灵主任医疗团队决定给患者在插管全麻下行
剖腹探查术
。术前徐文灵主任认真与患者家属交代了手术事项及手术方式,其家属也听闻 近期中山大学孙逸仙纪念医院
妇科肿瘤专科名医团队在广州市花都区人民医院妇科开展援助项目,不用上广州,在“家门口”就可以看病,综合考量下, 患者及患者家属均选择了在“家门口”手术。03
手术经过
术前,中山大学孙逸仙纪念医院妇科肿瘤专科主刀医生周晖与我院妇科徐文灵主任医疗团队认真复习患者的MR等影响资料,经过审慎的评估之后,12月3日,周晖教授与徐文灵主任医疗团队携手共同完成了这例难度大、风险高的卵巢癌肿瘤细胞减灭术。
术中周晖教授先开腹全面探查:吸取腹腔冲洗液查找癌细胞,探查肝、胆、脾、胃、阑尾无异常,大网膜、肠系膜、壁层腹膜、腹膜后淋巴结见大量病灶种植,取典型组织行快速病理检查证实为恶性肿瘤后,决定行卵巢癌肿瘤细胞减灭术,首先直奔肿瘤病灶分离了肿瘤与膀胱、子宫后壁与肠管之间的广泛而致密的粘连。

手术图

卵巢癌减灭术是妇科所有恶性肿瘤手术中难度最大风险最高的一种手术,最考验手术医生综合决策能力;因所有病灶均需一一切除,故十分考验主刀医生体力、耐力、及技术。
由于患者病灶广泛,粘连严重,手术难度大,静脉壁吹弹可破,随时都有破裂大出血的可能。无影灯下,周晖教授与徐文灵主任医疗团队在手术台上默契地配合,超声刀每一步都如单脚走钢丝般小心前进。最终凭借精湛的手术技巧,历时5小时,周晖教授与花都人医妇科团队顺利的将腹腔各器官表面的肉眼可见肿瘤病灶均做了彻底的切除,完成了满意的肿瘤细胞减灭术。
04
成功出院
术后第一天陈女士就能够下地活动,第二天排气胃肠功能逐步恢复,体温正常,实现了肿瘤患者的快速康复。陈女士快速的康复得益于周晖教授远程参与查房,并给出最佳的医学治疗方案。
出院当天,陈女士激动地提到:“非常感谢周晖教授与花都人医妇科医疗团队,术前术后给予我很大信心,消除了我的顾虑,不仅医护态度耐心热情,还有大医院专家查房待遇,让我免去奔波之苦,谢谢你们!”



周晖教授远程查房

患者出院与妇科医疗团队合影
结语
广州市花都区人民医院妇科作为广州北部重点专科,通过与中山大学孙逸仙纪念医院妇科肿瘤名医团队合作,不仅大幅度提升妇科恶性肿瘤的诊治和手术水平,同时解决了患友东奔西走、四处求医难题,节省患友和家属的大量时间、精力,免去繁琐就医诊治过程。
人民至上,生命至上。尽管此前方道路蜿蜒崎岖,但提供高质量的医疗服务,竭力攻克技术难点是花都区人民医院妇科医疗团队义不容辞的责任担当。
本文部分图片来源于网络,仅供健康传播,如有侵权请后台留言,我们收到后会第一时间删除!
文字与编辑:刘聪
图片:徐文灵
初审:徐文灵、旷晓兰
审核:徐间萍、芶祯峥
订阅后可查看全文(剩余80%)