佛山市中医院三水医院骨二科是以发展急诊创伤骨科、小儿骨科为主的特色专科,主要收治急诊复杂性、多发性创伤疾病,四肢开放性、闭合性骨与关节损伤,小儿骨折及骨病,兼顾部分老年性骨病及脊柱疾病为特色的综合性骨伤科病区。
自佛山市中医院三水医院整合以来,即成立了骨二科。10余年年来,在社会支持和各级领导的关怀下,骨二科不断茁壮成长。
引进来:科室发展思路清晰 技术推陈出新
骨二科秉承并发扬佛山市中医院骨伤科传统精髓,每年紧抓机遇,开展先进诊疗项目,在临床实践中不断梳理、明确科室发展思路,在技术上推陈出新。利用外院专家和佛山市中医院专家的强大后盾,引入多项新的尖端技术。
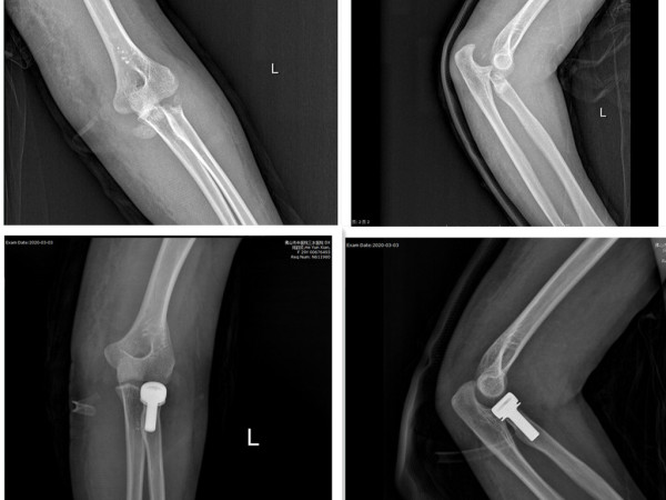
2019年,在广东省中医院的许树柴教授指导下,顺利完成我院首例膝关节单髁置换手术(UKA技术),2015年谢学文主任率先我科开展运用MIPO技术结合中医正骨手法微创治疗四肢干骺端骨折。继而,李伟强主任开展小儿陈旧性孟氏骨折矫形内固定术、截骨矫形支架外固定术、胫骨近端高位截骨矫形手术(HTO技术)、桡骨头置换术及骨搬运技术等。近年,在涂泽松主任指导下,更开展了肩关节置换术及进一步改善支架矫形技术。为我院创伤骨科矗立一座座里程碑。

目前,科室基本形成以四肢创伤骨折(闭合骨折、开放骨折、内固定取出等)、小儿骨骼创伤及创伤后遗留畸形(小儿肘部骨折及畸形,膝关节发育性畸形,踝部创伤后畸形)、四肢筋伤(软组织损伤及膝、踝关节侧副韧带损伤)、膝关节骨性关节炎中符合“保膝”治疗的患者、骨病(骨质疏松症、急慢性骨髓炎等)、脊柱疾病(胸腰椎单纯性压缩性骨折、腰椎间盘突出症、颈椎病)以及胸部创伤(肋骨骨折及稳定型胸部挫伤)七大重点为核心的发展方向。
走出去:人员梯队建设合理,培育引进齐头并进
骨二科是一支业务能力强,技术过硬的人才队伍。人才管理形成以科主任、科护长、科室副主任为核心,下设感控、宣传、质控、政风行风建设等9个管理小组,各成员均在不同分工的模式体系下运行发展。

科室主任翁天才主任中医师,任骨二科科室主任多年,获聘为广州中医药大学教授,从事骨伤科临床、教学、科研 30多年,擅长运用手法复位夹板固定治疗四肢闭合骨折。采用中西医结合,对复杂、多段不稳定四肢骨折,结合微创技术,予手法复位后采取闭合经皮穿针内固定或支架外固定治疗,疗效确切。对腰椎间盘突出症及老年性骨病有丰富的临床经验。

翁主任在人才梯队建设上,明白打铁还需自身硬的道理,不仅注重引进相关专业优势的硕士研究生,同时注重加强在职人员素质培养,从整体上提升科室人才软实力。先后派遣梁泳聪副主任中医师至北京积水潭医院和祝家盛主治中医师至佛山市中医院进修学习相关专科技术。同时安排郑泓主治中医师参加佛山市第一期中医骨干人才培训班,安排郑楚健主治中医师参加佛山市中医优秀人才培训班。
科室护士长徐雪芬主任护师带领着一支朝气蓬勃、技术过硬的护理团队,她们为病区患者提供贴心的护理服务的同时,正努力朝着为不同类型患者提供“个性化护理”的新思维护理模式,使骨伤科护理业务再上新的台阶。
科研业务相互促进,学术成果累累
科室目前运用“正骨十四法”加小夹板固定的优势,治疗临床工作上各类常见的骨折。对临床上部分高难度骨折运用手法复位+夹板外固定术或麻醉下手法复位经皮穿针内固定+夹板外固定,疗效确切,受到三水及周边地区患者的认可。
对临床上不稳定型、复杂型四肢创伤骨折,运用“AO”、“BO”理念,施行闭合/切开复位钢板、髓内钉内固定术,对临床上开放性骨折施行清创复位内固定+支架外固定术;对临床上骨不连、骨缺损病例,施行切开植骨内固定/支架外固定术;对肘、腕、踝关节脱位合并骨折,运用有限切开复位克氏针内固定+胯关节外固定支架(可活动型),运用MIPO技术结合锁定钢板内固定治疗对四肢干骺端骨折进行微创治疗,运用单髁置换及HTO技术对膝前内侧骨性关节炎进行“保膝”治疗,运用桡骨小头假体置换治疗肘关节恐怖三联征;对开放性骨折脱位病例施行清创复位胯关节支架外固定术,有效降低肢体的感染率及伤残率。

作为广东省“十三五”重点专科及佛山市“十四五”重点专科、高水平专科的重要组成部分,骨二科坚持从临床中总结经验、开展研究,从科研中分析数据、应用于临床。科室近五年承担省、市级课题共8项,荣获2项国家实用新型专利成果,累计发表文章11篇,其中科技核心文章2篇。近3年积极开展儿童肢体畸形半骨骺阻滞术、经跗骨窦入路微创治疗跟骨骨折、微创激素灌注加自固化磷酸钙人工骨(CPC)修复骨囊肿、微创治疗膝前内侧髁骨性关节炎等新技术。
在不断提升科室综合实力的同时,科室管理人员也注重让技术“走出去”。2020年,为响应“一带一路”的号召,支持纪木强副主任中医师到盐源中医院开展技术帮扶工作,2018年承担举办广东省中医药管理局继续医学教育项目《儿童肘关节周围骨折诊疗新进展学习班》(编号2018052307002)。2020年承担举办广东省中医药管理局继续医学教育项目《跟骨骨折诊疗新技术学习班》(编号2020052001001)。
“发展是第一要务,人才是第一资源,创新是第一动力”。骨二科团队以发展吸引人才,以人才推动创新,以创新成就未来。
新格局,新高度:荣誉表彰提升高度,未来格局可期
骨二科一直秉承“细微显真情,平凡塑人心”的口号,始终把患者利益放在首位,凭借精湛的医术、优质的服务赢得了患者的信赖与感谢。 以“一切以病人舒适为中心”的服务理念,把爱心、细心、耐心、责任心贯穿于临床诊疗、护理以及康复工作的始终。
近年来,徐雪芬护士长获评医院护理名师称号,注重传承创新,精益求精,在她的带领下,科室护理团队荣获三水区“优秀护理集体”称号,培养三水区“优秀护士”1人,市级优秀共青团员4人,组织率领团队参与省、市级各项护理知识竞赛、科普竞赛均获佳绩。
荣誉背后,是汗水的浇灌。硕果累累,始终不忘初心。成绩与表彰是获得患者信任的入门,过硬的专业技术和优质的医疗服务才是骨二科备受社会好评,再攀高峰的基石。骨二科人将以实干精神,放眼世界,紧抓机遇,开拓更多的十年。
订阅后可查看全文(剩余80%)